• Tel: 858.663.9055
  • SeparatorEmail: info@nsjbio.com
  • Tel: 858.663.9055
  • Email: info@nsjbio.com
Home >> Antibodies >> ENC1 Antibody

ENC1 Antibody (R36297)

  Catalog No Formulation Size Price (USD)  
Image R36297-100UG 0.5 mg/ml in 1X TBS, pH7.3, with 0.5% BSA (US sourced) and 0.02% sodium azide 100 ug 449
Bulk quote request
Western blot testing of rat ovay lysate with ENC1 antibody at 1ug/ml. Predicted molecular weight: ~66 kDa.
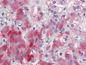
IHC testing of FFPE human adrenal gland tissue with ENC1 antibody at 5ug/ml. Required HIER: steamed antigen retrieval with pH6 citrate buffer; AP-staining.
Availability 1-3 business days
Species Reactivity Human, Rat
Predicted Reactivity Dog, Pig, Cow
Format Antigen affinity purified
Clonality Polyclonal (goat origin)
Isotype Goat Ig
Purity Antigen affinity
Gene ID 8507
Localization Nuclear, cytoplasmic
Applications Western Blot : 1-3ug/ml
IHC (FFPE) : 5ug/ml
ELISA (peptide) LOD : 1:128000
Limitations This ENC1 antibody is available for research use only.
Review this product on BioCompare and get a $20 Amazon gift card

Description

Additional name(s) for this target protein: Ectodermal-neural cortex 1

Application Notes

Optimal dilution of the ENC1 antibody should be determined by the researcher.

Immunogen

Amino acids TSVSHDKLPKVQC were used as the immunogen for this ENC1 antibody.

Storage

Aliquot and store the ENC1 antibody at -20oC.

Cross
Bulk Quote Request Form
Name*:
Organization*:
Email*:
Phone Number*:
Catalog No.*:
Comments and Specifics(amount, formulation, etc.)*:
Validation code: Captchapackage Image


Can't read the image? click here to refresh.
    *required field

Your bulk quote request has been submitted successfully!

Please contact us if you have any questions.