• Tel: 858.663.9055
  • SeparatorEmail: info@nsjbio.com
  • Tel: 858.663.9055
  • Email: info@nsjbio.com
Home >> Antibodies >> EMI1 Antibody

EMI1 Antibody [clone EMI1/1176] (V2527)

  Catalog No Formulation Size Price (USD)  
Image V2527-100UG 0.2 mg/ml in 1X PBS with 0.1 mg/ml BSA (US sourced) and 0.05% sodium azide 100 ug 539
Image
V2527-20UG 0.2 mg/ml in 1X PBS with 0.1 mg/ml BSA (US sourced) and 0.05% sodium azide 20 ug 249
Image
V2527SAF-100UG 1 mg/ml in 1X PBS; BSA free, sodium azide free 100 ug 539
Image
V2527IHC-7ML Prediluted in 1X PBS with 0.1 mg/ml BSA (US sourced) and 0.05% sodium azide; *For IHC use only* 7 ml 539
Microvalidated
Bulk quote request
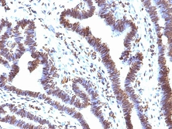
IHC: Formalin-fixed, paraffin-embedded human ovarian carcinoma stained with EMI1 antibody (clone EMI1/1176).
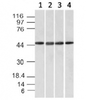
Western blot testing of cell line lysates: 1) HeLa, 2) HepG2, 3) 293, 4) K562 with EMI1 antibody. Predicted molecular weight: 50/45 kDa (isoforms 1/2).
Analysis of HuProt(TM) microarray containing more than 19,000 full-length human proteins using EMI1 antibody (clone EMI1/1176). These results demonstrate the foremost specificity of the EMI1/1176 mAb.
Z- and S- score: The Z-score represents the strength of a signal that an antibody (in combination with a fluorescently-tagged anti-IgG secondary Ab) produces when binding to a particular protein on the HuProt(TM) array. Z-scores are described in units of standard deviations (SD's) above the mean value of all signals generated on that array. If the targets on the HuProt(TM) are arranged in descending order of the Z-score, the S-score is the difference (also in units of SD's) between the Z-scores. The S-score therefore represents the relative target specificity of an Ab to its intended target.
Availability 1-3 business days
Species Reactivity Human
Format Purified
Clonality Monoclonal (mouse origin)
Isotype Mouse IgG2a, kappa
Clone Name EMI1/1176
Purity Protein G affinity chromatography
UniProt Q9UKT4
Localization Nuclear
Applications Western Blot : 1-2ug/ml for 60 min at RT
Immunohistochemistry (FFPE) : 1-2ug/ml for 30 min at RT
Limitations This EMI1 antibody is available for research use only.
Review this product on BioCompare and get a $20 Amazon gift card

Related Products

Description

Early Mitotic Inhibitor-1 regulates mitosis by inhibiting the anaphase promoting complex/cyclosome (APC). It is a conserved F box protein containing a zinc-binding region essential for APC inhibition. The protein functions to promote cyclin A accumulation and S phase entry in somatic cells by inhibiting the APC complex. At the G1-S transition, EMI1 is transcriptionally induced by the E2F transcription factor. Overexpression accelerates S-phase entry and can override a G1 block caused by overexpression of Cdh1 or the E2F-inhibitor p105 retinoblastoma protein (pRb). Depleting cells of EMI1 through RNA interference prevents accumulation of cyclin A and inhibits S phase entry.

Application Notes

Optimal dilution of the EMI1 antibody should be determined by the researcher.

1. Staining of formalin-fixed tissues requires boiling tissue sections in pH 9 10mM Tris with 1mM EDTA for 10-20 min followed by cooling at RT for 20 minutes
2. The prediluted format is supplied in a dropper bottle and is optimized for use in IHC. After epitope retrieval step (if required), drip mAb solution onto the tissue section and incubate at RT for 30 min.

Immunogen

A recombinant fragment (203 amino acid residues between aa 1-250) from the human protein was used as the immunogen for the EMI1 antibody.

Storage

Store the EMI1 antibody at 2-8oC (with azide) or aliquot and store at -20oC or colder (without azide).

Cross
Bulk Quote Request Form
Name*:
Organization*:
Email*:
Phone Number*:
Catalog No.*:
Comments and Specifics(amount, formulation, etc.)*:
Validation code: Captchapackage Image


Can't read the image? click here to refresh.
    *required field

Your bulk quote request has been submitted successfully!

Please contact us if you have any questions.