• Tel: 858.663.9055
  • SeparatorEmail: info@nsjbio.com
  • Tel: 858.663.9055
  • Email: info@nsjbio.com
Home >> Antibodies >> Emerin Antibody

Emerin Antibody (R32593)

  Catalog No Formulation Size Price (USD)  
Image R32593 0.5mg/ml if reconstituted with 0.2ml sterile DI water 100 ug 439
Bulk quote request
Western blot testing of 1) rat skeletal muscle, 2) mouse heart and 3) human HeLa lysate with Emerin antibody at 0.5ug/ml. Predicted molecular weight 29 kDa but routinely observed at ~34 kDa.
Immunofluorescent staining of FFPE human esophageal squamous cell carcinoma with Emerin antibody (green) at 1ug/ml and DAPI nuclear stain (blue). HIER: boil tissue sections in pH6, 10mM citrate buffer, for 10-20 min and allow to cool before testing.
Immunofluorescent staining of FFPE human esophageal squamous cell carcinoma with Emerin antibody (green) at 1ug/ml and DAPI nuclear stain (blue). HIER: boil tissue sections in pH6, 10mM citrate buffer, for 10-20 min and allow to cool before testing.
IF/ICC staining of FFPE human U-2 OS with Emerin antibody (green) at 1ug/ml and DAPI nuclear stain (blue). HIER: boil tissue sections in pH6, 10mM citrate buffer, for 10-20 min and allow to cool before testing.
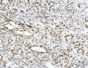
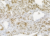
IHC staining of FFPE human endometrial carcinoma with Emerin antibody at 1ug/ml. HIER: boil tissue sections in pH6, 10mM citrate buffer, for 10-20 min and allow to cool before testing.
IHC staining of FFPE human esophageal squamous cell carcinoma with Emerin antibody at 1ug/ml. HIER: boil tissue sections in pH6, 10mM citrate buffer, for 10-20 min and allow to cool before testing.
IHC staining of FFPE human colon cancer with Emerin antibody at 1ug/ml. HIER: boil tissue sections in pH6, 10mM citrate buffer, for 10-20 min and allow to cool before testing.
Flow cytometry testing of human U-2 OS cells with Emerin antibody at 1ug/10^6 cells (blocked with goat sera); Red=cells alone, Green=isotype control, Blue= Emerin antibody.
Immunofluorescent staining of FFPE human lung cancer tissue with Emerin antibody (green) at 2ug/ml and DAPI nuclear stain (blue). HIER: boil tissue sections in pH8 EDTA for 10-20 min and allow to cool before testing.
Availability 1-3 business days
Species Reactivity Human, Mouse, Rat
Format Antigen affinity purified
Clonality Polyclonal (rabbit origin)
Isotype Rabbit IgG
Purity Antigen affinity
Buffer Lyophilized from 1X PBS with 2.5% BSA and 0.025% sodium azide
UniProt P50402
Localization Nuclear membrane, nuclear
Applications Western Blot : 0.5-1ug/ml
Immunohistochemistry (FFPE) : 1-2ug/ml
Immunofluorescence (FFPE) : 2-4ug/ml
Immunofluorescence/Immunocytochemistry (FFPE) : 2-4ug/ml
Flow Cytometry : 1-3ug/10^6 cells
Limitations This Emerin antibody is available for research use only.
Review this product on BioCompare and get a $20 Amazon gift card

Related Products

Description

Emerin is a serine-rich nuclear membrane protein that in humans is encoded by the EMD gene. And this gene is mapped to Xq28. Emerin is a member of the nuclear lamina-associated protein family. It mediates membrane anchorage to the cytoskeleton. Emery-Dreifuss muscular dystrophy is an X-linked inherited degenerative myopathy resulting from mutation in the EMD (also known clinically as STA) gene. Emerin appears to be involved in mechanotransduction, as emerin-deficient mouse fibroblasts failed to transduce normal mechanosensitive gene expression responses to strain stimuli. In cardiac muscle, emerin is also found complexed to beta-catenin at adherens junctions of intercalated discs, and cardiomyocytes from hearts lacking emerin showed beta-catenin redistribution as well as perturbed intercalated disc architecture and myocyte shape. This interaction appears to be regulated by glycogen synthase kinase 3 beta.

Application Notes

Optimal dilution of the Emerin antibody should be determined by the researcher.

Immunogen

Amino acids 1-48 (MDNYADLSDTELTTLLRRYNIPHGPVVGSTRRLYEKKIFEYETQRRRL-human) were used as the immunogen for the Emerin antibody.

Storage

After reconstitution, the Emerin antibody can be stored for up to one month at 4oC. For long-term, aliquot and store at -20oC. Avoid repeated freezing and thawing.

Cross
Bulk Quote Request Form
Name*:
Organization*:
Email*:
Phone Number*:
Catalog No.*:
Comments and Specifics(amount, formulation, etc.)*:
Validation code: Captchapackage Image


Can't read the image? click here to refresh.
    *required field

Your bulk quote request has been submitted successfully!

Please contact us if you have any questions.