• Tel: 858.663.9055
  • SeparatorEmail: info@nsjbio.com
  • Tel: 858.663.9055
  • Email: info@nsjbio.com
Home >> Antibodies >> Emerin Antibody

Emerin Antibody [clone EMD/2168] (V3834)

  Catalog No Formulation Size Price (USD)  
Image V3834-100UG 0.2 mg/ml in 1X PBS with 0.1 mg/ml BSA (US sourced) and 0.05% sodium azide 100 ug 539
Image
V3834-20UG 0.2 mg/ml in 1X PBS with 0.1 mg/ml BSA (US sourced) and 0.05% sodium azide 20 ug 249
Image
V3834SAF-100UG 1 mg/ml in 1X PBS; BSA free, sodium azide free 100 ug 539
Microvalidated
Bulk quote request
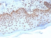
IHC testing of FFPE human basal cell carcinoma with Emerin antibody (clone EMD/2168). Required HIER: boiling tissue sections in 10mM citrate buffer, pH 6, for 10-20 min and allow to cool prior to staining.
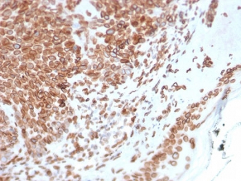
IHC testing of FFPE human renal cell carcinoma with Emerin antibody (clone EMD/2168). Required HIER: boiling tissue sections in 10mM citrate buffer, pH 6, for 10-20 min and allow to cool prior to staining.
IHC testing of FFPE human breast carcinoma with Emerin antibody (clone EMD/2168). Required HIER: boiling tissue sections in 10mM citrate buffer, pH 6, for 10-20 min and allow to cool prior to staining.
Western blot testing of human HeLa cell lysate with Emerin antibody (clone EMD/2168). Expected molecular weight: 29-34 kDa.
Analysis of HuProt(TM) microarray containing more than 19,000 full-length human proteins using Emerin antibody (clone EMD/2168). These results demonstrate the foremost specificity of the EMD/2168 mAb.
Z- and S- score: The Z-score represents the strength of a signal that an antibody (in combination with a fluorescently-tagged anti-IgG secondary Ab) produces when binding to a particular protein on the HuProt(TM) array. Z-scores are described in units of standard deviations (SD's) above the mean value of all signals generated on that array. If the targets on the HuProt(TM) are arranged in descending order of the Z-score, the S-score is the difference (also in units of SD's) between the Z-scores. The S-score therefore represents the relative target specificity of an Ab to its intended target.
SDS-PAGE analysis of purified, BSA-free Emerin antibody (clone EMD/2168) as confirmation of integrity and purity.
Availability 1-3 business days
Species Reactivity Human
Format Purified
Clonality Monoclonal (mouse origin)
Isotype Mouse IgG2b, kappa
Clone Name EMD/2168
Purity Protein G affinity chromatography
UniProt P50402
Localization Nuclear membrane
Applications Western Blot : 0.5-2ug/ml
Immunohistochemistry (FFPE) : 1-2ug/ml for 30 min at RT
Limitations This Emerin antibody is available for research use only.
Review this product on BioCompare and get a $20 Amazon gift card

Related Products

  • Applications : WB, IF, IHC-P
    Reactivity : Human
    Microvalidated
  • Applications : WB, IHC-P
    Reactivity : Human
  • Applications : WB, IHC-P, IF/ICC, FACS
    Reactivity : Human, Mouse, Rat

Description

Emerin is a member of the nuclear lamina associated protein family. It is ubiquitously expressed and localized to the nuclear membrane in normal cells. Mutations of the gene that encodes emerin result in the X-linked recessive disease Emery-Dreifuss muscular dystrophy (EDMD), which is characterized by slowly progressing contractures, skeletal muscle wasting and cardiomyopathy. Reportedly, lack of Emerin expression is one cause of EDMD. Emerin is involved in the association of the nuclear membrane with the lamina, and is localized specifically to desmosomes and fasciae adherents in the heart. Identification of nuclear membrane irregularities with anti-emerin antibody has been reported useful in diagnosing papillary thyroid carcinoma.

Application Notes

Titering of the Emerin antibody may be required for optimal performance.

Immunogen

A portion of amino acids 56-167 from the human protein was used as the immunogen for the Emerin antibody.

Storage

Store the Emerin antibody at 2-8oC (with azide) or aliquot and store at -20oC or colder (without azide).

Cross
Bulk Quote Request Form
Name*:
Organization*:
Email*:
Phone Number*:
Catalog No.*:
Comments and Specifics(amount, formulation, etc.)*:
Validation code: Captchapackage Image


Can't read the image? click here to refresh.
    *required field

Your bulk quote request has been submitted successfully!

Please contact us if you have any questions.