• Tel: 858.663.9055
  • SeparatorEmail: info@nsjbio.com
  • Tel: 858.663.9055
  • Email: info@nsjbio.com
Home >> Antibodies >> EME1 Antibody

EME1 Antibody (R32300)

  Catalog No Formulation Size Price (USD)  
Image R32300 0.5mg/ml if reconstituted with 0.2ml sterile DI water 100 ug 439
Bulk quote request
Western blot testing of human 1) HeLa, 2) Jurkat and 3) HUT lysate with EME1 antibody. Expected molecular weight ~63 kDa.
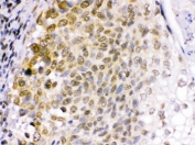
IHC testing of FFPE human lung cancer tissue with EME1 antibody. HIER: Boil the paraffin sections in pH 6, 10mM citrate buffer for 20 minutes and allow to cool prior to staining.
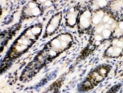
IHC testing of FFPE rat intestine with EME1 antibody. HIER: Boil the paraffin sections in pH 6, 10mM citrate buffer for 20 minutes and allow to cool prior to staining.
Flow cytometry testing of human U-2 OS cells with EME1 antibody at 1ug/10^6 cells (blocked with goat sera); Red=cells alone, Green=isotype control, Blue= EME1 antibody.
Availability 1-3 business days
Species Reactivity Human, Rat
Format Antigen affinity purified
Clonality Polyclonal (rabbit origin)
Isotype Rabbit IgG
Purity Antigen affinity
Buffer Lyophilized from 1X PBS with 2.5% BSA and 0.025% sodium azide
UniProt Q96AY2
Localization Nuclear
Applications Western Blot : 0.1-0.5ug/ml
Immunohistochemistry (FFPE) : 0.5-1ug/ml
Flow Cytometry : 1-3ug/million cells
Limitations This EME1 antibody is available for research use only.
Review this product on BioCompare and get a $20 Amazon gift card

Related Products

Description

Crossover junction endonuclease EME1 is an enzyme that in humans is encoded by the EME1 gene. It is mapped to 17q21.33. This gene encodes a protein that complexes with methyl methanesulfonate-sensitive UV-sensitive 81 protein to form an endonuclease complex. The encoded protein interacts with specifc DNA structures including nicked Holliday junctions, 3'-flap structures and aberrant replication fork structures. Also, this protein may be involved in repairing DNA damage and in maintaining genomic stability. Alternative splicing results in multiple transcript variants.

Application Notes

Optimal dilution of the EME1 antibody should be determined by the researcher.

Immunogen

Amino acids DKERQNLLADIQVRRGEGVTSTSRRIGPELSRRIYLQMTTLQ of human EME1 were used as the immunogen for the EME1 antibody.

Storage

After reconstitution, the EME1 antibody can be stored for up to one month at 4oC. For long-term, aliquot and store at -20oC. Avoid repeated freezing and thawing.

Cross
Bulk Quote Request Form
Name*:
Organization*:
Email*:
Phone Number*:
Catalog No.*:
Comments and Specifics(amount, formulation, etc.)*:
Validation code: Captchapackage Image


Can't read the image? click here to refresh.
    *required field

Your bulk quote request has been submitted successfully!

Please contact us if you have any questions.