• Tel: 858.663.9055
  • SeparatorEmail: info@nsjbio.com
  • Tel: 858.663.9055
  • Email: info@nsjbio.com
Home >> Antibodies >> Elongator complex protein 3 Antibody / ELP3 / KAT9

Elongator complex protein 3 Antibody / ELP3 / KAT9 [clone 8B4] (RQ6406)

  Catalog No Formulation Size Price (USD)  
Image RQ6406 0.5mg/ml if reconstituted with 0.2ml sterile DI water 100 ug 439
Bulk quote request
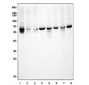
Western blot testing of human 1) K562, 2) U-2 OS, 3) HepG2, 4) U-87 MG, 5) rat lung, 6) rat PC-12, 7) mouse lung and 8) mouse NIH 3T3 cell lysate with Elongator complex protein 3 antibody. Predicted molecular weight ~62 kDa.
Availability 1-3 business days
Species Reactivity Human, Mouse, Rat
Format Purified
Clonality Monoclonal (mouse origin)
Isotype Mouse IgG2a
Clone Name 8B4
Purity Antigen affinity purified
Buffer Lyophilized from 1X PBS with 2% Trehalose
UniProt Q9H9T3
Localization Cytoplasmic, nuclear
Applications Western Blot : 0.5-1ug/ml
Limitations This Elongator complex protein 3 antibody is available for research use only.
Review this product on BioCompare and get a $20 Amazon gift card

Description

Elongator complex protein 3, also named KAT9, is a protein that in humans is encoded by the ELP3 gene. It is mapped to 8p21.1. ELP3 is the catalytic histone acetyltransferase subunit of the RNA polymerase II elongator complex, which is a component of the RNA polymerase II (Pol II) holoenzyme and is involved in transcriptional elongation. ELP3 supports the migration and branching of projection neurons through acetylation of alpha-tubulin in the developing cerebral cortex. In mammals, ELP3 is important for paternal DNA demethylationafterfertilization.ELP3 is potentially involved in cellular redox homeostasis by mediating the acetylation ofglucose-6-phosphate dehydrogenase. Besides, ELP3 may play a role in chromatin remodeling and is involved in acetylation of histones H3 and probably H4.

Application Notes

Optimal dilution of the Elongator complex protein 3 antibody should be determined by the researcher.

Immunogen

Amino acids RDPTKFQHQGFGMLLMEEAERIAREEH were used as the immunogen for the Elongator complex protein 3 antibody.

Storage

After reconstitution, the Elongator complex protein 3 antibody can be stored for up to one month at 4oC. For long-term, aliquot and store at -20oC. Avoid repeated freezing and thawing.

Cross
Bulk Quote Request Form
Name*:
Organization*:
Email*:
Phone Number*:
Catalog No.*:
Comments and Specifics(amount, formulation, etc.)*:
Validation code: Captchapackage Image


Can't read the image? click here to refresh.
    *required field

Your bulk quote request has been submitted successfully!

Please contact us if you have any questions.