• Tel: 858.663.9055
  • SeparatorEmail: info@nsjbio.com
  • Tel: 858.663.9055
  • Email: info@nsjbio.com
Home >> Antibodies >> EIF4A1/2/3 Antibody

EIF4A1/2/3 Antibody (RQ5520)

  Catalog No Formulation Size Price (USD)  
Image RQ5520 0.5mg/ml if reconstituted with 0.2ml sterile DI water 100 ug 439
Bulk quote request
Western blot testing of human 1) placenta 2) HEK293, 3) A549, 4) HepG2, 5) U-87 MG, 6) PC-3 and 7) K562 lysate with EIF4A1/2/3 antibody. Predicted molecular weight ~46 kDa.
Western blot testing of 1) rat thymus, 2) mouse thymus, 3) mouse lung and 7) mouse SP20 lysate with EIF4A1/2/3 antibody. Predicted molecular weight ~46 kDa.
Immunofluorescent staining of FFPE human U-2 OS cells with EIF4A1/2/3 antibody (green) and DAPI (blue). HIER: boil tissue sections in pH6, 10mM citrate buffer, for 20 min and allow to cool before testing.
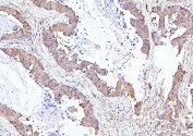
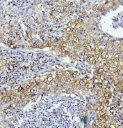
IHC staining of FFPE human colon cancer with EIF4A1/2/3 antibody. HIER: boil tissue sections in pH6, 10mM citrate buffer, for 20 min and allow to cool before testing.
IHC staining of FFPE human lung cancer with EIF4A1/2/3 antibody. HIER: boil tissue sections in pH6, 10mM citrate buffer, for 20 min and allow to cool before testing.
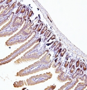
IHC staining of FFPE mouse intestine with EIF4A1/2/3 antibody. HIER: boil tissue sections in pH6, 10mM citrate buffer, for 20 min and allow to cool before testing.
IHC staining of FFPE rat intestine with EIF4A1/2/3 antibody. HIER: boil tissue sections in pH6, 10mM citrate buffer, for 20 min and allow to cool before testing.
Flow cytometry testing of human U-87 MG cells with EIF4A1/2/3 antibody at 1ug/million cells (blocked with goat sera); Red=cells alone, Green=isotype control, Blue= EIF4A1/2/3 antibody.
Flow cytometry testing of human HepG2 cells with EIF4A1/2/3 antibody at 1ug/million cells (blocked with goat sera); Red=cells alone, Green=isotype control, Blue= EIF4A1/2/3 antibody.
Availability 1-3 business days
Species Reactivity Human, Mouse, Rat
Format Antigen affinity purified
Clonality Polyclonal (rabbit origin)
Isotype Rabbit IgG
Purity Affinity purified
Buffer Lyophilized from 1X PBS with 2% Trehalose and 0.025% sodium azide
UniProt P60842
Applications Western Blot : 0.25-0.5ug/ml
Immunohistochemistry (FFPE) : 1-2ug/ml
Immunofluorescence : 2-4ug/ml
Flow Cytometry : 1-3ug/million cells
Direct ELISA : 0.1-0.5ug/ml
Limitations This EIF4A1/2/3 antibody is available for research use only.
Review this product on BioCompare and get a $20 Amazon gift card

Related Products

Description

Eukaryotic initiation factor 4A-I is a protein that in humans is encoded by the EIF4A1 gene. It is mapped to 17p13.1. EIF4A1 has been shown to interact with EIF4E and eukaryotic translation initiation factor 4 gamma.

Application Notes

Optimal dilution of the EIF4A1/2/3 antibody should be determined by the researcher.

Immunogen

A human recombinant protein (amino acids D32-I406 ) was used as the immunogen for the EIF4A1/2/3 antibody.

Storage

After reconstitution, the EIF4A1/2/3 antibody can be stored for up to one month at 4oC. For long-term, aliquot and store at -20oC. Avoid repeated freezing and thawing.

Cross
Bulk Quote Request Form
Name*:
Organization*:
Email*:
Phone Number*:
Catalog No.*:
Comments and Specifics(amount, formulation, etc.)*:
Validation code: Captchapackage Image


Can't read the image? click here to refresh.
    *required field

Your bulk quote request has been submitted successfully!

Please contact us if you have any questions.