• Tel: 858.663.9055
  • SeparatorEmail: info@nsjbio.com
  • Tel: 858.663.9055
  • Email: info@nsjbio.com
Home >> Antibodies >> EIF2S1 Antibody

EIF2S1 Antibody (R31138)

  Catalog No Formulation Size Price (USD)  
Image R31138 0.5mg/ml if reconstituted with 0.2ml sterile DI water 100 ug 439
Bulk quote request
Western blot testing of EIF2S1 antbody; Lane 1: COLO320; 2: CEM; 3: Raji; 4: HT1080 cell lysate. Predicted molecular weight: 36 kDa.
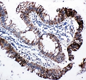
IHC-P: EIF2S1 antibody testing of human intestine cancer tissue
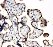
IHC-P: EIF2A antibody testing of human placenta tissue
Availability 1-3 business days
Species Reactivity Human
Format Antigen affinity purified
Clonality Polyclonal (rabbit origin)
Isotype Rabbit IgG
Purity Antigen affinity
Buffer Lyophilized from 1X PBS with 2.5% BSA and 0.025% sodium azide/thimerosal
UniProt P05198
Applications Western Blot : 0.5-1ug/ml
IHC (FFPE) : 0.5-1ug/ml
Limitations This EIF2S1 antibody is available for research use only.
Review this product on BioCompare and get a $20 Amazon gift card

Related Products

Description

Eukaryotic Translation Initiation Factor 2, Subunit 1, also called EIF2-alpha or EIF2A, is a protein that in humans is encoded by the EIF2S1 gene. Hartz(2010) mapped the gene to chromosome 14q23.3 based on an alignment of the EIF2S1 sequence with the genomic sequence (GRCh37). Ernst et al.(1987) stated that protein synthesis is inhibited due to phosphorylation of EIF2S1 in hemin-deprived rabbit reticulocyte lysates. HeLa cells subjected to heat shock, serum deprivation, or interferon treatment followed by virus infection also show a correlation between EIF2S1 phosphorylation and translational repression. Jacob et al.(1989) found that the alpha-Pal transcription factor bound to two palindromic sites within the EIF2S1 promoter and was essential for transcription of the gene.

Application Notes

The stated application concentrations are suggested starting amounts. Titration of the EIF2S1 antibody may be required due to differences in protocols and secondary/substrate sensitivity.

Immunogen

An amino acid sequence from the middle region of human Eukaryotic Translation Initiation Factor 2 subunit 1 (KDEQLESLFQRTAWV) was used as the immunogen for this EIF2A antibody.

Storage

After reconstitution, the EIF2S1 antibody can be stored for up to one month at 4oC. For long-term, aliquot and store at -20oC. Avoid repeated freezing and thawing.

Cross
Bulk Quote Request Form
Name*:
Organization*:
Email*:
Phone Number*:
Catalog No.*:
Comments and Specifics(amount, formulation, etc.)*:
Validation code: Captchapackage Image


Can't read the image? click here to refresh.
    *required field

Your bulk quote request has been submitted successfully!

Please contact us if you have any questions.