• Tel: 858.663.9055
  • SeparatorEmail: info@nsjbio.com
  • Tel: 858.663.9055
  • Email: info@nsjbio.com
Home >> Antibodies >> EIF2AK1 Antibody / Eukaryotic translation initiation factor 2-alpha kinase 1 / PKR

EIF2AK1 Antibody / Eukaryotic translation initiation factor 2-alpha kinase 1 / PKR (RQ7687)

  Catalog No Formulation Size Price (USD)  
Image RQ7687 0.5mg/ml if reconstituted with 0.2ml sterile DI water 100 ug 439
Bulk quote request
Immunofluorescent staining of FFPE human A549 cells with EIF2AK1 antibody (green) and DAPI nuclear stain (blue). HIER: steam section in pH6 citrate buffer for 20 min.
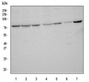
Western blot testing of human 1) HeLa, 2) 293T, 3) MCF7, 4) K562, 5) PANC-1, 6) A431 and 7) U-251 cell lysate with EIF2AK1 antibody. Predicted molecular weight ~62 kDa but routinely observed at 68-72 kDa.
Flow cytometry testing of human HEL cells with EIF2AK1 antibody at 1ug/million cells (blocked with goat sera); Red=cells alone, Green=isotype control, Blue= EIF2AK1 antibody.
Availability 1-3 business days
Species Reactivity Human, Mouse, Rat
Format Antigen affinity purified
Clonality Polyclonal (rabbit origin)
Isotype Rabbit IgG
Purity Antigen affinity purified
Buffer Lyophilized from 1X PBS with 2% Trehalose
UniProt Q9BQI3
Localization Cytoplasmic
Applications Western Blot : 0.5-1ug/ml
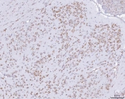
Immunohistochemistry (FFPE) : 2-5ug/ml
Immunofluorescence : 5ug/ml
Direct ELISA : 0.1-0.5ug/ml
Limitations This EIF2AK1 antibody is available for research use only.
Review this product on BioCompare and get a $20 Amazon gift card

Related Products

Description

Eukaryotic translation initiation factor 2-alpha kinase 1 is an enzyme that in humans is encoded by the EIF2AK1 gene. The protein encoded by this gene acts at the level of translation initiation to downregulate protein synthesis in response to stress. The encoded protein is a kinase that can be inactivated by hemin. Two transcript variants encoding different isoforms have been found for this gene.

Application Notes

Optimal dilution of the EIF2AK1 antibody should be determined by the researcher.

Immunogen

E. coli-derived recombinant human protein (amino acids E37-D508) was used as the immunogen for the EIF2AK1 antibody.

Storage

After reconstitution, the EIF2AK1 antibody can be stored for up to one month at 4oC. For long-term, aliquot and store at -20oC. Avoid repeated freezing and thawing.

Cross
Bulk Quote Request Form
Name*:
Organization*:
Email*:
Phone Number*:
Catalog No.*:
Comments and Specifics(amount, formulation, etc.)*:
Validation code: Captchapackage Image


Can't read the image? click here to refresh.
    *required field

Your bulk quote request has been submitted successfully!

Please contact us if you have any questions.