• Tel: 858.663.9055
  • SeparatorEmail: info@nsjbio.com
  • Tel: 858.663.9055
  • Email: info@nsjbio.com
Home >> Antibodies >> EIF2A Antibody / Eukaryotic translation initiation factor 2A

EIF2A Antibody / Eukaryotic translation initiation factor 2A (FY13068)

  Catalog No Formulation Size Price (USD)  
Image FY13068 Adding 0.2 ml of distilled water will yield a concentration of 500 ug/ml 100 ug 439
Bulk quote request
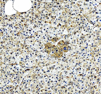
Immunohistochemical staining of EIF2A using anti-EIF2A antibody. EIF2A was detected in a paraffin-embedded section of human pancreas tissue. Heat mediated antigen retrieval was performed in EDTA buffer (pH 8.0, epitope retrieval solution). The tissue section was blocked with 10% goat serum. The tissue section was then incubated with 2 ug/ml rabbit anti-EIF2A antibody overnight at 4oC. Peroxidase Conjugated Goat Anti-rabbit IgG was used as secondary antibody and incubated for 30 minutes at 37oC. The tissue section was developed using an HRP secondary and DAB substrate.
Western blot analysis of EIF2A using anti-EIF2A antibody. Electrophoresis was performed on a 10% SDS-PAGE gel at 80V (Stacking gel) / 120V (Resolving gel) for 2 hours. Lane 1: human Caco-2 whole cell lysates, Lane 2: human K562 whole cell lysates, Lane 3: human U251 whole cell lysates, Lane 4: rat PC-12 tissue lysates. After electrophoresis, proteins were transferred to a nitrocellulose membrane at 150 mA for 50-90 minutes. Blocked the membrane with 5% non-fat milk/TBS for 1.5 hour at RT. The membrane was incubated with rabbit anti-EIF2A antibody at 0.5 ug/ml overnight at 4oC, then washed with TBS-0.1%Tween 3 times with 5 minutes each and probed with a goat anti-rabbit IgG-HRP secondary antibody at a dilution of 1:5000 for 1.5 hour at RT. The signal was developed using an ECL Plus Western Blotting Substrate. A specific band was detected for EIF2A at approximately 65 kDa. The expected molecular weight of EIF2A is ~65 kDa.
Flow Cytometry analysis of Caco-2 cells using anti-EIF2A antibody. Overlay histogram showing Caco-2 cells stained with (Blue line). The cells were fixed with 4% paraformaldehyde and blocked with 10% normal goat serum. And then incubated with rabbit anti-EIF2A antibody (1 ug/million cells) for 30 min at 20oC. DyLight 488 conjugated goat anti-rabbit IgG (5-10 ug/million cells) was used as secondary antibody for 30 minutes at 20oC. Isotype control antibody (Green line) was rabbit IgG (1 ug/million cells) used under the same conditions. Unlabelled sample without incubation with primary antibody and secondary antibody (Red line) was used as a blank control.
Availability 1-2 days
Species Reactivity Human, Rat
Format Lyophilized
Clonality Polyclonal (rabbit origin)
Isotype Rabbit IgG
Purity Immunogen affinity purified
Buffer Each vial contains 4 mg Trehalose, 0.9 mg NaCl, 0.2 mg Na2HPO4.
UniProt Q9BY44
Localization Cytoplasm
Applications Western Blot : 0.25-0.5ug/ml
Immunohistochemistry : 2-5ug/ml
Flow Cytometry : 1-3ug/million cells
ELISA : 0.1-0.5ug/ml
Limitations This EIF2A antibody is available for research use only.
Review this product on BioCompare and get a $20 Amazon gift card

Related Products

Description

EIF2A antibody detects Eukaryotic translation initiation factor 2A, a noncanonical initiation factor that facilitates translation initiation at non-AUG codons and reinitiation after upstream open reading frames. The UniProt recommended name is Eukaryotic translation initiation factor 2A (EIF2A). This factor functions independently of EIF2 and promotes initiation under stress or viral infection conditions when canonical EIF2-dependent translation is inhibited.

Functionally, EIF2A antibody recognizes a 585-amino-acid cytoplasmic protein that mediates the recruitment of initiator Met-tRNA to the ribosome in an EIF2-independent manner. EIF2A interacts with EIF3, ribosomal subunits, and tRNA to enable translation initiation, particularly for internal ribosome entry site (IRES)-containing mRNAs or stress-induced transcripts. Its activity contrasts with EIF2S1 (EIF2-alpha), which forms the classic EIF2 complex with GTP and initiator tRNA.

The EIF2A gene is located on chromosome 3q26.2 and is ubiquitously expressed, with high levels in pancreas, liver, and testis. During cellular stress, EIF2A supports translation of mRNAs involved in survival and recovery, including those that escape EIF2-alpha phosphorylation-mediated repression. It also contributes to viral mRNA translation, highlighting its role in host-pathogen interactions.

Pathologically, altered EIF2A function has been linked to metabolic disorders, neurodegenerative diseases, and cancer. Its role in selective translation during stress responses connects it to the unfolded protein response and integrated stress response pathways. Research with EIF2A antibody enables detection of translational shifts and analysis of noncanonical initiation mechanisms.

EIF2A antibody is suitable for western blot, immunocytochemistry, and immunoprecipitation to detect EIF2A in cultured cells and tissues. It is commonly used in studies of translational control, stress granule dynamics, and viral infection models. NSJ Bioreagents provides EIF2A antibody reagents validated for research in protein synthesis and stress response regulation.

Structurally, EIF2A is composed of N-terminal domains that interact with tRNA and ribosomal proteins, and C-terminal extensions involved in EIF3 binding. It differs mechanistically from EIF2S1 in GTP usage and codon selection. This antibody helps delineate EIF2A's contribution to alternative initiation and translational adaptation under stress conditions.

Application Notes

Optimal dilution of the EIF2A antibody should be determined by the researcher.

Immunogen

E.coli-derived human EIF2A recombinant protein (Position: H24-I585) was used as the immunogen for the EIF2A antibody.

Storage

After reconstitution, the EIF2A antibody can be stored for up to one month at 4oC. For long-term, aliquot and store at -20oC. Avoid repeated freezing and thawing.

Cross
Bulk Quote Request Form
Name*:
Organization*:
Email*:
Phone Number*:
Catalog No.*:
Comments and Specifics(amount, formulation, etc.)*:
Validation code: Captchapackage Image


Can't read the image? click here to refresh.
    *required field

Your bulk quote request has been submitted successfully!

Please contact us if you have any questions.