• Tel: 858.663.9055
  • SeparatorEmail: info@nsjbio.com
  • Tel: 858.663.9055
  • Email: info@nsjbio.com
Home >> Antibodies >> EHD3 Antibody / EH domain-containing protein 3

EHD3 Antibody / EH domain-containing protein 3 (RQ6379)

  Catalog No Formulation Size Price (USD)  
Image RQ6379 0.5mg/ml if reconstituted with 0.2ml sterile DI water 100 ug 439
Bulk quote request
Western blot testing of rat 1) heart, 2) brain, 3) kidney, 4) liver and mouse 5) heart, 6) brain, 7) kidney and 8) liver lysate with EHD3 antibody. Predicted molecular weight ~61 kDa.
Western blot testing of human 1) placenta, 2) A549, 3) HeLa, 4) CCRF-CEM, 5) U-87 MG, 6) SH-SY5Y and 7) monkey heart lysate with EHD3 antibody. Predicted molecular weight ~61 kDa.
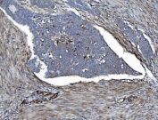
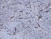
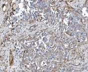
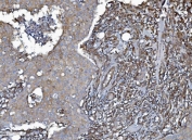
IHC staining of FFPE human lung cancer with EHD3 antibody. HIER: boil tissue sections in pH8 EDTA for 20 min and allow to cool before testing.
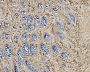
IHC staining of FFPE human gastric adenocarcinoma tissue with EHD3 antibody. HIER: boil tissue sections in pH8 EDTA for 20 min and allow to cool before testing.
IHC staining of FFPE human breast cancer tissue with EHD3 antibody. HIER: boil tissue sections in pH8 EDTA for 20 min and allow to cool before testing.
IHC staining of FFPE human ovarian serous adenocarcinoma tissue with EHD3 antibody. HIER: boil tissue sections in pH8 EDTA for 20 min and allow to cool before testing.
IHC staining of FFPE human ovarian serous adenocarcinoma tissue with EHD3 antibody. HIER: boil tissue sections in pH8 EDTA for 20 min and allow to cool before testing.
IHC staining of FFPE human renal clear cell carcinoma tissue with EHD3 antibody. HIER: boil tissue sections in pH8 EDTA for 20 min and allow to cool before testing.
IHC staining of FFPE human rectal cancer tissue with EHD3 antibody. HIER: boil tissue sections in pH8 EDTA for 20 min and allow to cool before testing.
IHC staining of FFPE mouse brain tissue with EHD3 antibody. HIER: boil tissue sections in pH8 EDTA for 20 min and allow to cool before testing.
IHC staining of FFPE rat brain tissue with EHD3 antibody. HIER: boil tissue sections in pH8 EDTA for 20 min and allow to cool before testing.
Immunofluorescent staining of FFPE human MCF7 cells with EHD3 antibody (green) and DAPI nuclear stain (blue). HIER: steam section in pH6 citrate buffer for 20 min.
Flow cytometry testing of human MCF7 cells with EHD3 antibody at 1ug/million cells (blocked with goat sera); Red=cells alone, Green=isotype control, Blue= EHD3 antibody.
Availability 1-3 business days
Species Reactivity Human, Monkey, Mouse, Rat
Format Purified
Clonality Polyclonal (rabbit origin)
Isotype Rabbit IgG
Purity Antigen affinity purified
Buffer Lyophilized from 1X PBS with 2% Trehalose
UniProt Q9NZN3
Localization Cell membrane, cytoplasmic
Applications Western Blot : 0.5-1ug/ml
Immunohistochemistry (FFPE) : 2-5ug/ml
Immunofluorescence (FFPE) : 5ug/ml
Flow Cytometry : 1-3ug/million cells
Limitations This EHD3 antibody is available for research use only.
Review this product on BioCompare and get a $20 Amazon gift card

Related Products

  • Applications : FACS, IHC-P, WB
    Reactivity : Human, Mouse

Description

Eps15 homology domain-containing protein 3, abbreviated as EDH3 and also known as PAST3, is a protein encoded by the EHD3 gene. The Eps15 homology (EH) domain-containing protein family consists of four members, EHD1, EHD2, EHD3, and EHD4. The chromosomal locations of the human EHD genes are as follows: EHD1 maps to 11q13, EHD2 maps to 19q13.3, EHD3 maps to 2p21, and EHD4 maps to 15q11.1 (1-3). The encoded proteins of all EHD family members contain multiple conserved regions, which include an amino-terminal nucleotide-binding consensus site, a bipartite nuclear localization signal, and a carboxy-terminal EH protein-binding domain with an EF-hand motif (3,4). EHD1 is ubiquitously expressed with increased expression in testis (2,3). EHD2, EHD3, and EHD4 have more specific expression with EHD2 highly expressed in heart, EHD3 expressed in brain, kidney, liver, placenta, ovary, and heart, and EHD4 expressed in heart, placenta, and pancreas (1,5,6). The EHD proteins may participate in ligand-induced endocytosis (3-5).

Application Notes

Optimal dilution of the EHD3 antibody should be determined by the researcher.

Immunogen

Amino acids NELPAHLLPPSKRKVAE were used as the immunogen for the EHD3 antibody.

Storage

After reconstitution, the EHD3 antibody can be stored for up to one month at 4oC. For long-term, aliquot and store at -20oC. Avoid repeated freezing and thawing.

Cross
Bulk Quote Request Form
Name*:
Organization*:
Email*:
Phone Number*:
Catalog No.*:
Comments and Specifics(amount, formulation, etc.)*:
Validation code: Captchapackage Image


Can't read the image? click here to refresh.
    *required field

Your bulk quote request has been submitted successfully!

Please contact us if you have any questions.