• Tel: 858.663.9055
  • SeparatorEmail: info@nsjbio.com
  • Tel: 858.663.9055
  • Email: info@nsjbio.com
Home >> Antibodies >> EHD2 Antibody

EHD2 Antibody (R33325)

  Catalog No Formulation Size Price (USD)  
Image R33325-100UG 0.5 mg/ml in 1X TBS, pH7.3, with 0.5% BSA (US sourced) and 0.02% sodium azide 100 ug 449
Bulk quote request
Western blot testing of human placenta lysate with EHD2 antibody at 0.1ug/ml. Predicted molecular weight: ~61 kDa.
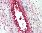
IHC testing of FFPE human vessel with EHD2 antibody at ug/ml. HIER: steamed antigen retrieval with pH6 citrate buffer; AP-staining.
Availability 1-3 business days
Species Reactivity Human
Predicted Reactivity Mouse, Rat, Dog, Cow
Format Antigen affinity purified
Clonality Polyclonal (goat origin)
Isotype Goat Ig
Purity Antigen affinity
Gene ID 30846
Localization Cytoplasmic, membrane
Applications Western Blot : 1-3ug/ml
IHC (FFPE) : 5ug/ml
ELISA (peptide) LOD : 1:64000
Limitations This EHD2 antibody is available for research use only.
Review this product on BioCompare and get a $20 Amazon gift card

Related Products

  • Applications : IHC-P, WB
    Reactivity : Human, Mouse, Rat
  • Applications : WB, IF
    Reactivity : Human

Description

Additional name(s) for this target protein: EH-domain containing 2

Application Notes

Optimal dilution of the EHD2 antibody should be determined by the researcher.

1. This EHD1 antibody will detect both EHD1 and EHD2.

Immunogen

Amino acids CRLVPPSKRRHKGSA were used as the immunogen for this EHD2 antibody.

Storage

Aliquot and store the EHD2 antibody at -20oC.

Cross
Bulk Quote Request Form
Name*:
Organization*:
Email*:
Phone Number*:
Catalog No.*:
Comments and Specifics(amount, formulation, etc.)*:
Validation code: Captchapackage Image


Can't read the image? click here to refresh.
    *required field

Your bulk quote request has been submitted successfully!

Please contact us if you have any questions.