• Tel: 858.663.9055
  • SeparatorEmail: info@nsjbio.com
  • Tel: 858.663.9055
  • Email: info@nsjbio.com
Home >> Antibodies >> EHD2 Antibody

EHD2 Antibody (F54752)

  Catalog No Formulation Size Price (USD)  
Image F54752-0.4ML In 1X PBS, pH 7.4, with 0.09% sodium azide 0.4 ml 429
Image
F54752-0.08ML In 1X PBS, pH 7.4, with 0.09% sodium azide 0.08 ml 199
Bulk quote request
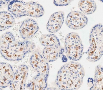
IHC testing of FFPE human placental tissue with EHD2 antibody. HIER: steam section in pH9 EDTA for 20 min and allow to cool prior to staining.
IHC testing of FFPE human heart tissue with EHD2 antibody. HIER: steam section in pH9 EDTA for 20 min and allow to cool prior to staining.
Western blot testing of human 1) heart, 2) A549, 3) placenta, 4) HeLa, 5) mouse kidney and 6) rat lung tissue lysate with EHD2 antibody. Predicted molecular weight: ~61 kDa.
Availability 1-3 business days
Species Reactivity Human, Mouse, Rat
Format Purified
Clonality Polyclonal (rabbit origin)
Isotype Rabbit Ig
Purity Antigen affinity purified
UniProt Q9NZN4
Localization Cytoplasmic
Applications Immunohistochemistry (FFPE) : 1:25
Western Blot : 1:500-1:2000
Limitations This EHD2 antibody is available for research use only.
Review this product on BioCompare and get a $20 Amazon gift card

Related Products

  • Applications : WB, IHC-P, ELISA (peptide)
    Reactivity : Human
    Pred. Reactivity : Mouse, Rat, Dog, Cow
  • Applications : WB, IF
    Reactivity : Human

Description

EH domain-containing protein 2 plays a role in membrane reorganization in response to nucleotide hydrolysis. Binds to liposomes and deforms them into tubules. Plays a role in membrane trafficking between the plasma membrane and endosomes. Important for the internalization of GLUT4. Required for normal fusion of myoblasts to skeletal muscle myotubes. Required for translocation of FER1L5 to the plasma membrane. Binds ATP; does not bind GTP (By similarity).

Application Notes

The stated application concentrations are suggested starting points. Titration of the EHD2 antibody may be required due to differences in protocols and secondary/substrate sensitivity.

Immunogen

A portion of amino acids 415-449 from the human protein was used as the immunogen for the EHD2 antibody.

Storage

Aliquot the EHD2 antibody and store frozen at -20oC or colder. Avoid repeated freeze-thaw cycles.

Cross
Bulk Quote Request Form
Name*:
Organization*:
Email*:
Phone Number*:
Catalog No.*:
Comments and Specifics(amount, formulation, etc.)*:
Validation code: Captchapackage Image


Can't read the image? click here to refresh.
    *required field

Your bulk quote request has been submitted successfully!

Please contact us if you have any questions.