• Tel: 858.663.9055
  • SeparatorEmail: info@nsjbio.com
  • Tel: 858.663.9055
  • Email: info@nsjbio.com
Home >> Antibodies >> EHD1 Antibody / EH domain-containing protein 1 / PAST1

EHD1 Antibody / EH domain-containing protein 1 / PAST1 (RQ4997)

  Catalog No Formulation Size Price (USD)  
Image RQ4997 0.5mg/ml if reconstituted with 0.2ml sterile DI water 100 ug 439
Bulk quote request
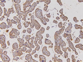
IHC staining of FFPE human placenta with EHD1 antibody. HIER: boil tissue sections in pH6, 10mM citrate buffer, for 10-20 min and allow to cool before testing.
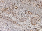
IHC staining of FFPE human tonsil with EHD1 antibody. HIER: boil tissue sections in pH6, 10mM citrate buffer, for 10-20 min and allow to cool before testing.
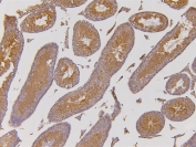
IHC staining of FFPE human testis cancer with EHD1 antibody. HIER: boil tissue sections in pH6, 10mM citrate buffer, for 10-20 min and allow to cool before testing.
IF/ICC staining of FFPE human A431 cells with EDH1 antibody (red) at 2ug/ml and DAPI nuclear stain (blue). HIER: steam section in pH6 citrate buffer for 20 min.
IHC staining of FFPE mouse testis with EHD1 antibody. HIER: boil tissue sections in pH6, 10mM citrate buffer, for 10-20 min and allow to cool before testing.
IHC staining of FFPE rat testis with EHD1 antibody. HIER: boil tissue sections in pH6, 10mM citrate buffer, for 10-20 min and allow to cool before testing.
Flow cytometry testing of human U-87 MG cells with EHD1 antibody at 1ug/10^6 cells (blocked with goat sera); Red=cells alone, Green=isotype control, Blue= EHD1 antibody.
Flow cytometry testing of human U-2 OS cells with EHD1 antibody at 1ug/10^6 cells (blocked with goat sera); Red=cells alone, Green=isotype control, Blue= EHD1 antibody.
Western blot testing of 1) human U87 MG, 2) human PC-3, 3) rat testis and 4) mouse testis lysate with EHD1 antibody. Expected molecular weight ~61 kDa.
Availability 1-3 business days
Species Reactivity Human, Mouse, Rat
Format Antigen affinity purified
Clonality Polyclonal (rabbit origin)
Isotype Rabbit IgG
Purity Affinity purified
Buffer Lyophilized from 1X PBS with 2% Trehalose and 0.025% sodium azide
UniProt Q9H4M9
Applications Flow Cytometry : 1-3ug/10^6 cells
Immunohistochemistry (FFPE) : 1-2ug/ml
Immunofluorescence/Immunocytochemistry (FFPE) : 2-4ug/ml
Western Blot : 1-2ug/ml
Limitations This EHD1 antibody is available for research use only.
Review this product on BioCompare and get a $20 Amazon gift card

Related Products

Description

EH domain-containing protein 1, also known as testilin or PAST homolog 1 (PAST1), is a protein that in humans is encoded by the EHD1 gene, belonging to the EHD protein family. It is mapped to 11q13.1. This gene belongs to a highly conserved gene family encoding EPS15 homology (EH) domain-containing proteins. The protein-binding EH domain was first noted in EPS15, a substrate for the epidermal growth factor receptor. The EH domain has been shown to be an important motif in proteins involved in protein-protein interactions and in intracellular sorting. The protein encoded by this gene is thought to play a role in the endocytosis of IGF1 receptors. Alternatively spliced transcript variants have been found for this gene.

Application Notes

Optimal dilution of the EHD1 antibody should be determined by the researcher.

Immunogen

Amino acids K324-E516 from the human protein were used as the immunogen for the EHD1 antibody.

Storage

Store the EHD1 antibody at -20oC.

Cross
Bulk Quote Request Form
Name*:
Organization*:
Email*:
Phone Number*:
Catalog No.*:
Comments and Specifics(amount, formulation, etc.)*:
Validation code: Captchapackage Image


Can't read the image? click here to refresh.
    *required field

Your bulk quote request has been submitted successfully!

Please contact us if you have any questions.