• Tel: 858.663.9055
  • SeparatorEmail: info@nsjbio.com
  • Tel: 858.663.9055
  • Email: info@nsjbio.com
Home >> Antibodies >> EGFR Antibody / Epidermal Growth Factor Receptor

EGFR Antibody / Epidermal Growth Factor Receptor [clone GFR/2341] (V3828)

  Catalog No Formulation Size Price (USD)  
Image V3828-100UG 0.2 mg/ml in 1X PBS with 0.1 mg/ml BSA (US sourced) and 0.05% sodium azide 100 ug 539
Image
V3828-20UG 0.2 mg/ml in 1X PBS with 0.1 mg/ml BSA (US sourced) and 0.05% sodium azide 20 ug 249
Image
V3828SAF-100UG 1 mg/ml in 1X PBS; BSA free, sodium azide free 100 ug 539
Microvalidated
Bulk quote request
Western blot testing of A431 lysate using EGFR antibody (clone GFR/2341). Expected molecular weight: 134-180 kDa depending on glycosylation level.
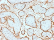
IHC testing of FFPE human placenta with EGFR antibody (clone GFR/2341). Required HIER: boiling tissue sections in pH 9 10mM Tris with 1mM EDTA for 10-20 min.
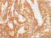
IHC testing of FFPE human lung squamous cell carcinoma with EGFR antibody (clone GFR/2341). Required HIER: boiling tissue sections in pH 9 10mM Tris with 1mM EDTA for 10-20 min.
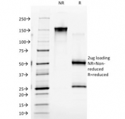
SDS-PAGE analysis of purified, BSA-free EGFR antibody (clone GFR/2341) as confirmation of integrity and purity.
Analysis of HuProt(TM) microarray containing more than 19,000 full-length human proteins using EGFR antibody (clone GFR/2341). These results demonstrate the foremost specificity of the GFR/2341 mAb. Z- and S- score: The Z-score represents the strength of a signal that an antibody (in combination with a fluorescently-tagged anti-IgG secondary Ab) produces when binding to a particular protein on the HuProt(TM) array. Z-scores are described in units of standard deviations (SD's) above the mean value of all signals generated on that array. If the targets on the HuProt(TM) are arranged in descending order of the Z-score, the S-score is the difference (also in units of SD's) between the Z-scores. The S-score therefore represents the relative target specificity of an Ab to its intended target.
Availability 1-3 business days
Species Reactivity Human
Format Purified
Clonality Monoclonal (mouse origin)
Isotype Mouse IgG2b, kappa
Clone Name GFR/2341
Purity Protein G affinity chromatography
UniProt P00533
Localization Cell surface
Applications Immunohistochemistry (FFPE) : 1-2ug/ml for 30 min at RT
Western Blot : 1-2ug/ml
Limitations This EGFR antibody is available for research use only.
Review this product on BioCompare and get a $20 Amazon gift card

Related Products

Description

This MAb recognizes a protein of 170kDa, identified as EGFR. EGFR is type I receptor tyrosine kinase with sequence homology to erbB-1, -2, -3 -4 or HER-1, -2, -3 -4. It binds to Epidermal Growth Factor (EGF), Transforming Growth Factor-a (TGF-a), Heparin-binding EGF (HB-EGF), amphiregulin, betacellulin and epiregulin. EGFR is overexpressed in tumors of breast, brain, bladder, lung, gastric, head & neck, esophagus, cervix, vulva, ovary, and endometrium. It is predominantly present in squamous cell carcinomas.

Application Notes

Titering of the EGFR antibody may be required for optimal performance.

Immunogen

A portion of amino acids 344-492 from the human protein was used as the immunogen for the EGFR antibody.

Storage

Store the EGFR antibody at 2-8oC (with azide) or aliquot and store at -20oC or colder (without azide).

Cross
Bulk Quote Request Form
Name*:
Organization*:
Email*:
Phone Number*:
Catalog No.*:
Comments and Specifics(amount, formulation, etc.)*:
Validation code: Captchapackage Image


Can't read the image? click here to refresh.
    *required field

Your bulk quote request has been submitted successfully!

Please contact us if you have any questions.