• Tel: 858.663.9055
  • SeparatorEmail: info@nsjbio.com
  • Tel: 858.663.9055
  • Email: info@nsjbio.com
Home >> Antibodies >> Eg5 Antibody / KIF11

Eg5 Antibody / KIF11 (RQ7230)

  Catalog No Formulation Size Price (USD)  
Image RQ7230 0.5mg/ml if reconstituted with 0.2ml sterile DI water 100 ug 439
Bulk quote request
IHC staining of FFPE human tonsil tissue with Eg5 antibody. HIER: boil tissue sections in pH8 EDTA for 20 min and allow to cool before testing.
IHC staining of FFPE human breast cancer tissue with Eg5 antibody. HIER: boil tissue sections in pH8 EDTA for 20 min and allow to cool before testing.
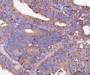
IHC staining of FFPE human endometrial adenocarcinoma tissue with Eg5 antibody. HIER: boil tissue sections in pH8 EDTA for 20 min and allow to cool before testing.
Immunofluorescent staining of FFPE human A431 cells with Eg5 antibody (green) and DAPI nuclear stain (blue). HIER: steam section in pH6 citrate buffer for 20 min.
Western blot testing of human 1) MCF7, 2) Raji, 3) 293T, 4) Daudi and 5) MOLT4 cell lysate with Eg5 antibody. Predicted molecular weight ~119 kDa but commonly observed at 119-130 kDa.
Flow cytometry testing of human U937 cells with Eg5 antibody at 1ug/million cells (blocked with goat sera); Red=cells alone, Green=isotype control, Blue= Eg5 antibody.
Availability 1-3 business days
Species Reactivity Human
Format Antigen affinity purified
Clonality Polyclonal (rabbit origin)
Isotype Rabbit IgG
Purity Antigen affinity purified
Buffer Lyophilized from 1X PBS with 2% Trehalose
UniProt P52732
Localization Cytoplasmic
Applications Western Blot : 0.5-1ug/ml
Immunohistochemistry (FFPE) : 2-5ug/ml
Immunofluorescence : 5ug/ml
Flow Cytometry : 1-3ug/million cells
Direct ELISA : 0.1-0.5ug/ml
Limitations This Eg5 antibody is available for research use only.
Review this product on BioCompare and get a $20 Amazon gift card

Related Products

  • Applications : FACS, WB, IHC-P
    Reactivity : Human, Hamster

Description

Kinesin-like protein KIF11, also called Kinesin-related motor protein Eg5, is a molecular motor protein that is essential in mitosis. In humans it is coded for by the gene KIF11. This gene encodes a motor protein that belongs to the kinesin-like protein family. Members of this protein family are known to be involved in various kinds of spindle dynamics. The function of this gene product includes chromosome positioning, centrosome separation and establishing a bipolar spindle during cell mitosis.

Application Notes

Optimal dilution of the Eg5 antibody should be determined by the researcher.

Immunogen

Recombinant human protein (amino acids K17-Q716) was used as the immunogen for the Eg5 antibody.

Storage

After reconstitution, the Eg5 antibody can be stored for up to one month at 4oC. For long-term, aliquot and store at -20oC. Avoid repeated freezing and thawing.

Cross
Bulk Quote Request Form
Name*:
Organization*:
Email*:
Phone Number*:
Catalog No.*:
Comments and Specifics(amount, formulation, etc.)*:
Validation code: Captchapackage Image


Can't read the image? click here to refresh.
    *required field

Your bulk quote request has been submitted successfully!

Please contact us if you have any questions.