• Tel: 858.663.9055
  • SeparatorEmail: info@nsjbio.com
  • Tel: 858.663.9055
  • Email: info@nsjbio.com
Home >> Antibodies >> EEF2 Antibody / Elongation factor 2

EEF2 Antibody / Elongation factor 2 [clone 5F5] (RQ6234)

  Catalog No Formulation Size Price (USD)  
Image RQ6234 0.5mg/ml if reconstituted with 0.2ml sterile DI water 100 ug 439
Bulk quote request
Immunofluorescent staining of FFPE human HepG2 cells with EEF2 antibody (green) and DAPI nuclear stain (blue). HIER: steam section in pH6 citrate buffer for 20 min.
IHC staining of FFPE human rectal cancer with EEF2 antibody. HIER: boil tissue sections in pH8 EDTA for 20 min and allow to cool before testing.
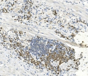
IHC staining of FFPE human lymph node metastasis in rectal cancer with EEF2 antibody. HIER: boil tissue sections in pH8 EDTA for 20 min and allow to cool before testing.
IHC staining of FFPE human breast cancer with EEF2 antibody. HIER: boil tissue sections in pH8 EDTA for 20 min and allow to cool before testing.
IHC staining of FFPE human liver cancer with EEF2 antibody. HIER: boil tissue sections in pH8 EDTA for 20 min and allow to cool before testing.
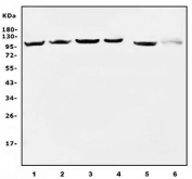
Western blot testing of human 1) HeLa, 2) HepG2, 3) Jurkat, 4) U-2 OS, 5) rat PC-3 and 6) mouse NIH 3T3 cell lysate with EEF2 antibody. Predicted molecular weight ~95 kDa.
Flow cytometry testing of human HL60 cells with EEF2 antibody at 1ug/million cells (blocked with goat sera); Red=cells alone, Green=isotype control, Blue= EEF2 antibody.
Flow cytometry testing of mouse HEPA1-6 cells with EEF2 antibody at 1ug/million cells (blocked with goat sera); Red=cells alone, Green=isotype control, Blue= EEF2 antibody.
Flow cytometry testing of rat NRK cells with EEF2 antibody at 1ug/million cells (blocked with goat sera); Red=cells alone, Green=isotype control, Blue= EEF2 antibody.
Availability 1-3 business days
Species Reactivity Human, Mouse, Rat
Format Antigen affinity purified
Clonality Monoclonal (mouse origin)
Isotype Mouse IgG1
Clone Name 5F5
Purity Affinity purified
Buffer Lyophilized from 1X PBS with 2% Trehalose
UniProt P13639
Applications Western Blot : 1-2ug/ml
Immunohistochemistry (FFPE) : 2-5ug/ml
Immunofluorescence : 5ug/ml
Flow Cytometry : 1-3ug/million cells
Limitations This EEF2 antibody is available for research use only.
Review this product on BioCompare and get a $20 Amazon gift card

Related Products

Description

Eukaryotic elongation factor 2 is a protein that in humans is encoded by the EEF2 gene. This gene encodes a member of the GTP-binding translation elongation factor family. This protein is an essential factor for protein synthesis. It promotes the GTP-dependent translocation of the nascent protein chain from the A-site to the P-site of the ribosome. This protein is completely inactivated by EF-2 kinase phosporylation.

Application Notes

Optimal dilution of the EEF2 antibody should be determined by the researcher.

Immunogen

Amino acids QTETVLRQAIAERIKPVLMMNKMDRALLELQLEPEELYQTFQR from the human protein were used as the immunogen for the EEF2 antibody.

Storage

After reconstitution, the EEF2 antibody can be stored for up to one month at 4oC. For long-term, aliquot and store at -20oC. Avoid repeated freezing and thawing.

Cross
Bulk Quote Request Form
Name*:
Organization*:
Email*:
Phone Number*:
Catalog No.*:
Comments and Specifics(amount, formulation, etc.)*:
Validation code: Captchapackage Image


Can't read the image? click here to refresh.
    *required field

Your bulk quote request has been submitted successfully!

Please contact us if you have any questions.