• Tel: 858.663.9055
  • SeparatorEmail: info@nsjbio.com
  • Tel: 858.663.9055
  • Email: info@nsjbio.com
Home >> Antibodies >> EDG8 Antibody

EDG8 Antibody (F43818)

  Catalog No Formulation Size Price (USD)  
Image F43818-0.4ML In 1X PBS, pH 7.4, with 0.09% sodium azide 0.4 ml 429
Image
F43818-0.08ML In 1X PBS, pH 7.4, with 0.09% sodium azide 0.08 ml 199
Bulk quote request
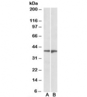
EDG8 antibody western blot analysis in A549 lysate. Predicted molecular weight: ~42kDa.
Availability 1-3 business days
Species Reactivity Human
Format Antigen affinity purified
Clonality Polyclonal (rabbit origin)
Isotype Rabbit Ig
Purity Antigen affinity
UniProt Q9H228
Applications Western Blot : 1:1000
Limitations This EDG8 antibody is available for research use only.
Review this product on BioCompare and get a $20 Amazon gift card

Related Products

  • Applications : WB, ELISA (peptide)
    Reactivity : Human
    Pred. Reactivity : Cow, Pig

Description

The lysosphingolipid sphingosine 1-phosphate (S1P) regulates cell proliferation, apoptosis, motility, and neurite retraction. Its actions may be both intracellular as a second messenger and extracellular as a receptor ligand. S1P and the structurally related lysolipid mediator lysophosphatidic acid (LPA) signal cells through a set of G protein-coupled receptors known as EDG receptors. Some EDG receptors (e.g., EDG1; MIM 601974) are S1P receptors; others (e.g., EDG2; MIM 602282) are LPA receptors.

Application Notes

Titration of the EDG8 antibody may be required due to differences in protocols and secondary/substrate sensitivity.

Immunogen

A portion of amino acids 219-247 from the human protein was used as the immunogen for this EDG8 antibody.

Storage

Aliquot the EDG8 antibody and store frozen at -20oC or colder. Avoid repeated freeze-thaw cycles.

Cross
Bulk Quote Request Form
Name*:
Organization*:
Email*:
Phone Number*:
Catalog No.*:
Comments and Specifics(amount, formulation, etc.)*:
Validation code: Captchapackage Image


Can't read the image? click here to refresh.
    *required field

Your bulk quote request has been submitted successfully!

Please contact us if you have any questions.