• Tel: 858.663.9055
  • SeparatorEmail: info@nsjbio.com
  • Tel: 858.663.9055
  • Email: info@nsjbio.com
Home >> Antibodies >> EDC4 Antibody / Enhancer of mRNA-decapping protein 4

EDC4 Antibody / Enhancer of mRNA-decapping protein 4 (RQ6550)

  Catalog No Formulation Size Price (USD)  
Image RQ6550 0.5mg/ml if reconstituted with 0.2ml sterile DI water 100 ug 439
Bulk quote request
Immunofluorescent staining of FFPE human SiHa cells with EDC4 antibody (green) and DAPI nuclear stain (blue). HIER: steam section in pH6 citrate buffer for 20 min.
Western blot testing of human 1) HeLa, 2) Caco-2, 3) K562 and 4) ThP-1 cell lysate with EDC4 antibody. Predicted molecular weight ~152 kDa.
Flow cytometry testing of fixed and permeabilized human HL60 cells with EDC4 antibody at 1ug/million cells (blocked with goat sera); Red=cells alone, Green=isotype control, Blue= EDC4 antibody.
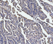
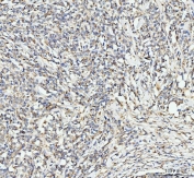
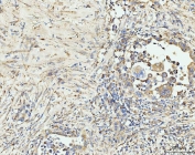
IHC staining of FFPE human lymphadenoma tissue with EDC4 antibody. HIER: boil tissue sections in pH8 EDTA for 20 min and allow to cool before testing.
IHC staining of FFPE human colorectal cancer tissue with EDC4 antibody. HIER: boil tissue sections in pH8 EDTA for 20 min and allow to cool before testing.
IHC staining of FFPE human colorectal adenocarcinoma tissue with EDC4 antibody. HIER: boil tissue sections in pH8 EDTA for 20 min and allow to cool before testing.
Availability 1-3 business days
Species Reactivity Human
Format Antigen affinity purified
Clonality Polyclonal (rabbit origin)
Isotype Rabbit IgG
Purity Affinity purified
Buffer Lyophilized from 1X PBS with 2% Trehalose
UniProt Q6P2E9
Localization Cytoplasmic, nuclear
Applications Western Blot : 1-2ug/ml
Flow Cytometry : 1-3ug/million cells
Immunohistochemistry (FFPE) : 2-5ug/ml
Immunofluorescence : 5ug/ml
Direct ELISA : 0.1-0.5ug/ml
Limitations This EDC4 antibody is available for research use only.
Review this product on BioCompare and get a $20 Amazon gift card

Description

Enhancer of mRNA-decapping protein 4 is a protein that in humans is encoded by the EDC4 gene. Enhancer of mRNA decapping 4 (EDC4) was originally identified as the autoantigen Ge-1 from a Sjogren's syndrome patient later diagnosed with primary biliary cirrhosis. EDC4 (also known as HEDLS) was later identified as an essential component of cytoplasmic P-bodies responsible for mRNA decapping and degradation. Identified EDC4 protein is found as a pair of isoforms generated by alternative splicing and contains several WD domains and a putative nuclear localization signal. EDC4 co-localizes with other P-body decapping proteins such as DCP1A, DCP2 and GW182. Experimental evidence suggests that EDC4 may be involved in miRNA-mediated translation repression.

Application Notes

Optimal dilution of the EDC4 antibody should be determined by the researcher.

Immunogen

An E. coli-derived human protein (amino acids K1082-L1388) was used as the immunogen for the EDC4 antibody.

Storage

After reconstitution, the EDC4 antibody can be stored for up to one month at 4oC. For long-term, aliquot and store at -20oC. Avoid repeated freezing and thawing.

Cross
Bulk Quote Request Form
Name*:
Organization*:
Email*:
Phone Number*:
Catalog No.*:
Comments and Specifics(amount, formulation, etc.)*:
Validation code: Captchapackage Image


Can't read the image? click here to refresh.
    *required field

Your bulk quote request has been submitted successfully!

Please contact us if you have any questions.