• Tel: 858.663.9055
  • SeparatorEmail: info@nsjbio.com
  • Tel: 858.663.9055
  • Email: info@nsjbio.com
Home >> Antibodies >> ECSIT Antibody

ECSIT Antibody (RQ6617)

  Catalog No Formulation Size Price (USD)  
Image RQ6617 0.5mg/ml if reconstituted with 0.2ml sterile DI water 100 ug 439
Bulk quote request
IHC staining of FFPE human gastric adenocarcinoma tissue with ECSIT antibody. HIER: boil tissue sections in pH8 EDTA for 20 min and allow to cool before testing.
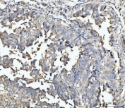
IHC staining of FFPE human bladder adenosquamous carcinoma tissue with ECSIT antibody. HIER: boil tissue sections in pH8 EDTA for 20 min and allow to cool before testing.
IHC staining of FFPE human lymphadenoma tissue with ECSIT antibody. HIER: boil tissue sections in pH8 EDTA for 20 min and allow to cool before testing.
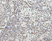
IHC staining of FFPE human liver cancer tissue with ECSIT antibody. HIER: boil tissue sections in pH8 EDTA for 20 min and allow to cool before testing.
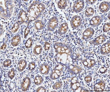
IHC staining of FFPE human colonic adenocarcinoma tissue with ECSIT antibody. HIER: boil tissue sections in pH8 EDTA for 20 min and allow to cool before testing.
Immunofluorescent staining of FFPE human PC-3 cells with ECSIT antibody (green) and DAPI nuclear stain (blue). HIER: steam section in pH6 citrate buffer for 20 min.
Western blot testing of human 1) PC-3 and 2) HeLa cell lysate with ECSIT antibody. Predicted molecular weight ~49 kDa.
Flow cytometry testing of human HepG2 cells with ECSIT antibody at 1ug/million cells (blocked with goat sera); Red=cells alone, Green=isotype control, Blue= ECSIT antibody.
Availability 1-3 business days
Species Reactivity Human
Format Antigen affinity purified
Clonality Polyclonal (rabbit origin)
Isotype Rabbit IgG
Purity Antigen affinity purified
Buffer Lyophilized from 1X PBS with 2% Trehalose
UniProt Q9BQ95
Localization Cytoplasmic, nuclear
Applications Western Blot : 1-2ug/ml
Immunohistochemistry (FFPE) : 2-5ug/ml
Immunofluorescence (FFPE) : 5ug/ml
Flow Cytometry : 1-3ug/million cells
Direct ELISA : 0.1-0.5ug/ml
Limitations This ECSIT antibody is available for research use only.
Review this product on BioCompare and get a $20 Amazon gift card

Description

Evolutionarily conserved signaling intermediate in Toll pathway, mitochondrial (ECSIT), also known as SITPEC, is a protein that in humans is encoded by the ECSIT gene. Activation of NF-kB as a result of Toll-like receptor (TLR) and IL-1 receptor signaling is a major component of innate immune responses. Signals from these receptors are relayed by a number of adapter molecules such as TRIF, TIRAP, and MyD88 to kinases such as IRAK and other intermediates such as TNF receptor associated factor (TRAF)-6. ECSIT (evolutionarily conserved signaling intermediate in Toll pathways) was initially identified as a cytoplasmic protein interacting specifically with TNF receptor associated factor (TRAF)-6 in the TLR pathway. Recently however, ECSIT has also been shown to be required for bone morphogenetic protein (Bmp) signaling and mesoderm formation during mouse embryogenesis, indicating the possibility of cross-talk between the TLR/IL-B and Bmp signaling pathways.

Application Notes

Optimal dilution of the ECSIT antibody should be determined by the researcher.

Immunogen

Recombinant human protein (amino acids E83-S339) was used as the immunogen for the ECSIT antibody.

Storage

After reconstitution, the ECSIT antibody can be stored for up to one month at 4oC. For long-term, aliquot and store at -20oC. Avoid repeated freezing and thawing.

Cross
Bulk Quote Request Form
Name*:
Organization*:
Email*:
Phone Number*:
Catalog No.*:
Comments and Specifics(amount, formulation, etc.)*:
Validation code: Captchapackage Image


Can't read the image? click here to refresh.
    *required field

Your bulk quote request has been submitted successfully!

Please contact us if you have any questions.