• Tel: 858.663.9055
  • SeparatorEmail: info@nsjbio.com
  • Tel: 858.663.9055
  • Email: info@nsjbio.com
Home >> Antibodies >> EBV Antibody / Epstein-Barr Virus / LMP-1

EBV Antibody / Epstein-Barr Virus / LMP-1 [clone CS4] (V8330)

  Catalog No Formulation Size Price (USD)  
Image V8330-100UG 0.2 mg/ml in 1X PBS with 0.1 mg/ml BSA (US sourced) and 0.05% sodium azide 100 ug 539
Image
V8330-20UG 0.2 mg/ml in 1X PBS with 0.1 mg/ml BSA (US sourced) and 0.05% sodium azide 20 ug 249
Image
V8330SAF-100UG 1 mg/ml in 1X PBS; BSA free, sodium azide free 100 ug 539
Bulk quote request
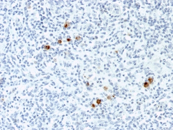
IHC staining of FFPE Hodgkin's Lymphoma with EBV antibody (clone CS4). HIER: boil tissue sections in pH 9 10mM Tris with 1mM EDTA for 10-20 min and allow to cool before testing.
SDS-PAGE analysis of purified, BSA-free EBV antibody (clone CS4) as confirmation of integrity and purity.
Availability 1-3 business days
Species Reactivity EBV
Format Purified
Clonality Monoclonal (mouse origin)
Isotype Mouse IgG1, kappa
Clone Name CS4
Purity Protein G affinity chromatography
Applications Western Blot : 1-2ug/ml
Immunohistochemistry (FFPE) : 1-2ug/ml
Limitations This EBV antibody is available for research use only.
Review this product on BioCompare and get a $20 Amazon gift card

Related Products

Description

Clone CS4 is one of four clones to EBV. Each clone reacts with different epitopes on the hydrophilic C-terminus of the cytoplasmic domain of LMP-1. This antibody is specific to 60kDa latent membrane protein (LMP-1) encoded by the BNLF1 gene of the EBV. It stains strongly with EBV-positive lymphoblastoid cell lines and EBV infected B cell immunoblasts in infectious mononucleosis. EBV, also designated human herpesvirus 4 (HHV-4), is a member of the herpesvirus family and is one of the most common human viruses. EBV infects B cells and, though often asymptomatic, it can cause infectious mononucleosis, a disease characterized by fatigue, fever, sore throat and muscle soreness.

Application Notes

Optimal dilution of the EBV antibody should be determined by the researcher.

Immunogen

Recombinant fusion protein containing the sequence of bacterial beta-galactosidase and the carboxyl half of EBV-encoded LMP was used as the immunogen for the EBV antibody.

Storage

Store the EBV antibody at 2-8oC (with azide) or aliquot and store at -20oC or colder (without azide).

Cross
Bulk Quote Request Form
Name*:
Organization*:
Email*:
Phone Number*:
Catalog No.*:
Comments and Specifics(amount, formulation, etc.)*:
Validation code: Captchapackage Image


Can't read the image? click here to refresh.
    *required field

Your bulk quote request has been submitted successfully!

Please contact us if you have any questions.