• Tel: 858.663.9055
  • SeparatorEmail: info@nsjbio.com
  • Tel: 858.663.9055
  • Email: info@nsjbio.com
Home >> Antibodies >> E2F transcription factor 3 Antibody / E2F3

E2F transcription factor 3 Antibody / E2F3 (RQ6977)

  Catalog No Formulation Size Price (USD)  
Image RQ6977 0.5mg/ml if reconstituted with 0.2ml sterile DI water 100 ug 439
Bulk quote request
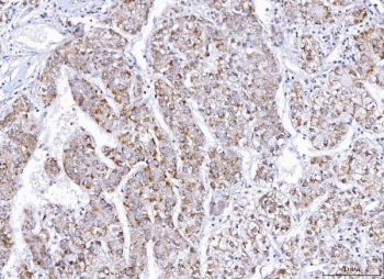
IHC staining of FFPE human liver cancer tissue with E2F transcription factor 3 antibody. HIER: boil tissue sections in pH8 EDTA for 20 min and allow to cool before testing.
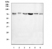
Western blot testing of 1) human 293T, 2) human SH-SY5Y, 3) rat lung, 4) rat brain, 5) rat spleen and 6) mouse brain lysate with E2F transcription factor 3 antibody. Predicted molecular weight: ~49 kDa but can also be observed from 56~66 kDa.
Flow cytometry testing of human HL60 cells with E2F transcription factor 3 antibody at 1ug/million cells (blocked with goat sera); Red=cells alone, Green=isotype control, Blue= E2F transcription factor 3 antibody.
Availability 1-3 business days
Species Reactivity Human, Mouse, Rat
Format Antigen affinity purified
Clonality Polyclonal (rabbit origin)
Isotype Rabbit IgG
Purity Antigen affinity purified
Buffer Lyophilized from 1X PBS with 2% Trehalose
UniProt O00716
Localization Nuclear, cytoplasmic
Applications Western Blot : 0.5-1 ug/ml
Immunohistochemistry (FFPE) : 2-5ug/ml
Flow Cytometry : 1-3ug/million cells
Direct ELISA : 0.1-0.5ug/ml
Limitations This E2F transcription factor 3 antibody is available for research use only.
Review this product on BioCompare and get a $20 Amazon gift card

Related Products

  • Applications : WB
    Reactivity : Human, Mouse
  • Applications : WB, ELISA (peptide)
    Reactivity : Human, Mouse
    Pred. Reactivity : Human
  • Applications : WB
    Reactivity : Human, Mouse, Rat
  • Applications : WB
    Reactivity : Human, Mouse, Rat
  • Applications : WB, FACS, Direct ELISA
    Reactivity : Human

Description

Transcription factor E2F3, also known as KIAA0075, is a protein that in humans is encoded by the E2F3 gene. The protein encoded by this gene is a member of the E2F family of transcription factors. By fluorescence in situ hybridization, E2F3 gene is mapped to 6q22.3. The induction of specific E2F activities is an essential component in the MYC pathways that control cell proliferation and cell fate decisions. This gene encodes a member of a small family of transcription factors that function through binding of DP interaction partner proteins. The encoded protein recognizes a specific sequence motif in DNA and interacts directly with the retinoblastoma protein (pRB) to regulate the expression of genes involved in the cell cycle.

Application Notes

Optimal dilution of the E2F transcription factor 3 antibody should be determined by the researcher.

Immunogen

Recombinant human protein (amino acids A91-S465) was used as the immunogen for the E2F transcription factor 3 antibody.

Storage

After reconstitution, the E2F transcription factor 3 antibody can be stored for up to one month at 4oC. For long-term, aliquot and store at -20oC. Avoid repeated freezing and thawing.

Cross
Bulk Quote Request Form
Name*:
Organization*:
Email*:
Phone Number*:
Catalog No.*:
Comments and Specifics(amount, formulation, etc.)*:
Validation code: Captchapackage Image


Can't read the image? click here to refresh.
    *required field

Your bulk quote request has been submitted successfully!

Please contact us if you have any questions.