• Tel: 858.663.9055
  • SeparatorEmail: info@nsjbio.com
  • Tel: 858.663.9055
  • Email: info@nsjbio.com
Home >> Antibodies >> E-Cadherin Antibody / CDH1

E-Cadherin Antibody / CDH1 [clone COH-3] (RQ5389)

  Catalog No Formulation Size Price (USD)  
Image RQ5389 Antibody in PBS with 0.02% sodium azide, 50% glycerol and 0.4-0.5mg/ml BSA 100 ul 439
Microvalidated Rab Mono Image
Bulk quote request
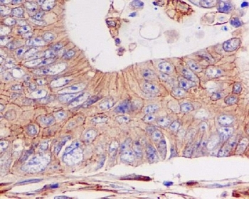
IHC staining of FFPE human colon cancer with E-Cadherin antibody. HIER: boil tissue sections in pH6, 10mM citrate buffer, for 10-20 min and allow to cool before testing.
Western blot testing of rat C6 cell lysate with E-Cadherin antibody. Expected molecular weight: 135 kDa (precursor), 80-120 kDa (mature, depending on glycosylation level).
Availability 1-2 weeks
Species Reactivity Human, Mouse, Rat
Format Purified
Clonality Rabbit Monoclonal
Isotype Rabbit IgG
Clone Name COH-3
Purity Affinity purified
UniProt P12830
Localization Cytoplasmic, plasma membrane
Applications Western Blot : 1:1000-1:5000
Immunohistochemistry (FFPE) : 1:50-1:200
Limitations This E-Cadherin antibody is available for research use only.
Review this product on BioCompare and get a $20 Amazon gift card

Related Products

Description

The CDH1 gene encodes a classical cadherin of the cadherin superfamily. Alternative splicing results in multiple transcript variants, at least one of which encodes a preproprotein that is proteolytically processed to generate the mature glycoprotein. This calcium-dependent cell-cell adhesion protein is comprised of five extracellular cadherin repeats, a transmembrane region and a highly conserved cytoplasmic tail. Mutations in this gene are correlated with gastric, breast, colorectal, thyroid and ovarian cancer. Loss of function of this gene is thought to contribute to cancer progression by increasing proliferation, invasion, and/or metastasis. The ectodomain of this protein mediates bacterial adhesion to mammalian cells and the cytoplasmic domain is required for internalization. [RefSeq]

Application Notes

Optimal dilution of the E-Cadherin antibody should be determined by the researcher.

Immunogen

A synthetic peptide specific to human E-Cadherin / CDH1 was used as the immunogen for the E-Cadherin antibody.

Storage

Store the E-Cadherin antibody at -20oC.

Cross
Bulk Quote Request Form
Name*:
Organization*:
Email*:
Phone Number*:
Catalog No.*:
Comments and Specifics(amount, formulation, etc.)*:
Validation code: Captchapackage Image


Can't read the image? click here to refresh.
    *required field

Your bulk quote request has been submitted successfully!

Please contact us if you have any questions.