• Tel: 858.663.9055
  • SeparatorEmail: info@nsjbio.com
  • Tel: 858.663.9055
  • Email: info@nsjbio.com
Home >> Antibodies >> DYX1C1 Antibody

DYX1C1 Antibody (R34480)

  Catalog No Formulation Size Price (USD)  
Image R34480-100UG 0.5 mg/ml in 1X TBS, pH7.3, with 0.5% BSA (US sourced) and 0.02% sodium azide 100 ug 449
Bulk quote request
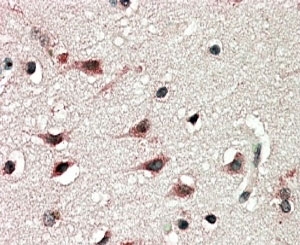
IHC staining of FFPE human cerebral cortex with DYX1C1 antibody at 5ug/ml. HIER: steamed with pH6 citrate buffer, AP-staining.
Western blot testing of COS1 cell lysates: untransfected (left lane) and transfected with full length human DYX1C1 (right lane). DYX1C1 antibody was used at 0.1ug/ml. Predicted molecular weight: ~48kDa.
Availability 1-3 business days
Species Reactivity Human
Predicted Reactivity Mouse, Rat
Format Antigen affinity purified
Clonality Polyclonal (goat origin)
Isotype Goat Ig
Purity Antigen affinity
Gene ID 161582
Applications Western Blot : 0.1-0.3ug/ml
Immunohistochemistry (FFPE) : 5-10ug/ml
ELISA (peptide) LOD : 1:16000
Limitations This DYX1C1 antibody is available for research use only.
Review this product on BioCompare and get a $20 Amazon gift card

Related Products

  • Applications : WB, ELISA (peptide)
    Reactivity : Human
    Pred. Reactivity : Dog

Description

Additional name(s) for this target protein: Dyslexia susceptibility 1 candidate 1

Application Notes

Optimal dilution of the DYX1C1 antibody should be determined by the researcher.

Immunogen

Amino acids KIRNVIQGTELKS were used as the immunogen for this DYX1C1 antibody. This sequence is specific to isoform a.

Storage

Aliquot and store the DYX1C1 antibody at -20oC.

Cross
Bulk Quote Request Form
Name*:
Organization*:
Email*:
Phone Number*:
Catalog No.*:
Comments and Specifics(amount, formulation, etc.)*:
Validation code: Captchapackage Image


Can't read the image? click here to refresh.
    *required field

Your bulk quote request has been submitted successfully!

Please contact us if you have any questions.