• Tel: 858.663.9055
  • SeparatorEmail: info@nsjbio.com
  • Tel: 858.663.9055
  • Email: info@nsjbio.com
Home >> Antibodies >> Dystrophin Antibody / DMD

Dystrophin Antibody / DMD [clone DMD/3242] (V7548)

  Catalog No Formulation Size Price (USD)  
Image V7548-100UG 0.2 mg/ml in 1X PBS with 0.1 mg/ml BSA (US sourced) and 0.05% sodium azide 100 ug 539
Image
V7548-20UG 0.2 mg/ml in 1X PBS with 0.1 mg/ml BSA (US sourced) and 0.05% sodium azide 20 ug 249
Image
V7548SAF-100UG 1 mg/ml in 1X PBS; BSA free, sodium azide free 100 ug 539
Image
V7548IHC-7ML Prediluted in 1X PBS with 0.1 mg/ml BSA (US sourced) and 0.05% sodium azide; *For IHC use only* 7 ml 539
Microvalidated
Bulk quote request
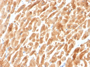
IHC staining of FFPE cardiac muscle with Dystrophin antibody (clone DMD/3242). HIER: boil tissue sections in pH 9 10mM Tris with 1mM EDTA for 20 min and allow to cool before testing.
Analysis of HuProt(TM) microarray containing more than 19,000 full-length human proteins using Dystrophin antibody (clone DMD/3242). These results demonstrate the foremost specificity of the DMD/3242 mAb.
Z- and S- score: The Z-score represents the strength of a signal that an antibody (in combination with a fluorescently-tagged anti-IgG secondary Ab) produces when binding to a particular protein on the HuProt(TM) array. Z-scores are described in units of standard deviations (SD's) above the mean value of all signals generated on that array. If the targets on the HuProt(TM) are arranged in descending order of the Z-score, the S-score is the difference (also in units of SD's) between the Z-scores. The S-score therefore represents the relative target specificity of an Ab to its intended target.
SDS-PAGE analysis of purified, BSA-free Dystrophin antibody (clone DMD/3242) as confirmation of integrity and purity.
IHC staining of FFPE skeletal muscle with Dystrophin antibody (clone DMD/3242). HIER: boil tissue sections in pH6, 10mM citrate buffer, for 10-20 min and allow to cool before testing.
Availability 1-3 business days
Species Reactivity Human
Format Purified
Clonality Monoclonal (mouse origin)
Isotype Mouse IgG2b, kappa
Clone Name DMD/3242
Purity Protein G affinity chromatography
UniProt P11532
Localization Cell surface, cytoplasmic
Applications ELISA : order BSA/sodium azide-free format for coating
Immunohistochemistry (FFPE) : 1-2ug/ml for 30 min at RT
Limitations This Dystrophin antibody is available for research use only.
Review this product on BioCompare and get a $20 Amazon gift card

Related Products

Description

Dystrophin-glycoprotein complex (DGC) connects the F-Actin cytoskeleton on the inner surface of muscle fibers to the surrounding extracellular matrix, through the cell membrane interface. A deficiency in this protein contributes to Duchenne (DMD) and Becker (BMD) muscular dystrophies. The human dystrophin gene measures 2.4 megabases, has more than 80 exons, produces a 14 kb mRNA and contains at least 8 independent tissue-specific promoters and 2 poly A sites. The dystrophin mRNA can undergo differential splicing and produce a range of transcripts that encode a large set of proteins. Dystrophin represents approximately 0.002% of total striated muscle protein and localizes to triadic junctions in skeletal muscle, where it is thought to influence calcium ion homeostasis and force transmission.

Application Notes

Optimal dilution of the Dystrophin antibody should be determined by the researcher.

1. The prediluted format is supplied in a dropper bottle and is optimized for use in IHC. After epitope retrieval step (if required), drip mAb solution onto the tissue section and incubate at RT for 30 min.

Immunogen

Amino acids 114-263 from the human protein were used as the immunogen for the Dystrophin antibody.

Storage

Store the Dystrophin antibody at 2-8oC (with azide) or aliquot and store at -20oC or colder (without azide).

Cross
Bulk Quote Request Form
Name*:
Organization*:
Email*:
Phone Number*:
Catalog No.*:
Comments and Specifics(amount, formulation, etc.)*:
Validation code: Captchapackage Image


Can't read the image? click here to refresh.
    *required field

Your bulk quote request has been submitted successfully!

Please contact us if you have any questions.