• Tel: 858.663.9055
  • SeparatorEmail: info@nsjbio.com
  • Tel: 858.663.9055
  • Email: info@nsjbio.com
Home >> Antibodies >> Dynactin 3 Antibody

Dynactin 3 Antibody (R35494)

  Catalog No Formulation Size Price (USD)  
Image R35494-100UG 0.5 mg/ml in 1X TBS, pH7.3, with 0.5% BSA (US sourced) and 0.02% sodium azide 100 ug 449
Bulk quote request
Western blot testing of human kidney lysate with Dynactin 3 antibody at 0.03ug/ml. Expected molecular weight (human): ~22kDa.
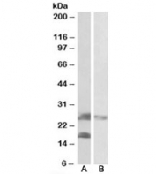
Western blot of mouse (A) and rat (B) skeletal muscle lysates with Dynactin 3 antibody at 0.2ug/ml. Expected molecular weight (mouse): ~24kDa.
Availability 1-3 business days
Species Reactivity Human, Mouse, Rat
Predicted Reactivity Cow, Dog
Format Antigen affinity purified
Clonality Polyclonal (goat origin)
Isotype Goat Ig
Purity Antigen affinity
Gene ID 11258
Applications Western Blot : 0.03-0.1ug/ml
ELISA (peptide) LOD : 1:16000
Limitations This Dynactin 3 antibody is available for research use only.
Review this product on BioCompare and get a $20 Amazon gift card

Related Products

Description

Additional name(s) for this target protein: DCTN3, DCTN-22, DCTN22; Human: Dynactin 3 (p22); Mouse: Dynactin 3 (p24)

Application Notes

Optimal dilution of the Dynactin 3 antibody should be determined by the researcher.

Immunogen

Amino acids QVALGNISSKRE were used as the immunogen for this Dynactin 3 antibody.

Storage

Aliquot and store the Dynactin 3 antibody at -20oC.

Cross
Bulk Quote Request Form
Name*:
Organization*:
Email*:
Phone Number*:
Catalog No.*:
Comments and Specifics(amount, formulation, etc.)*:
Validation code: Captchapackage Image


Can't read the image? click here to refresh.
    *required field

Your bulk quote request has been submitted successfully!

Please contact us if you have any questions.