• Tel: 858.663.9055
  • SeparatorEmail: info@nsjbio.com
  • Tel: 858.663.9055
  • Email: info@nsjbio.com
Home >> Antibodies >> DUSP6 Antibody

DUSP6 Antibody (F51142)

  Catalog No Formulation Size Price (USD)  
Image F51142-0.4ML In 1X PBS, pH 7.4, with 0.09% sodium azide 0.4 ml 429
Image
F51142-0.08ML In 1X PBS, pH 7.4, with 0.09% sodium azide 0.08 ml 199
Bulk quote request
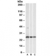
Western blot testing of 1) human brain, 2) mouse brain and 3) rat brain with DUSP6 antibody. Predicted molecular weight 42/26 kDa (isoform 1/2).
Western blot testing of 1) human HepG2, 2) human brain and 3) rat brain with DUSP6 antibody. Predicted molecular weight 42/26 kDa (isoform 1/2).
Confocal immunofluorescent analysis of DUSP6 antibody with HeLa cells followed by Alexa Fluor 488-conjugated goat anti-rabbit lgG (green). DAPI was used as a nuclear counterstain (blue).
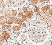
IHC testing of FFPE human kidney tissue with DUSP6 antibody. HIER: steam section in pH9 EDTA for 20 min and allow to cool prior to staining.
IHC testing of FFPE human colon carcinoma tissue with DUSP6 antibody. HIER: steam section in pH9 EDTA for 20 min and allow to cool prior to staining.
Availability 1-3 business days
Species Reactivity Human, Mouse, Rat
Format Purified
Clonality Polyclonal (rabbit origin)
Isotype Rabbit Ig
Purity Purified
UniProt Q16828
Applications Immunofluorescence : 1:10-1:50
Western Blot : 1:1000
Immunohistochemstry (FFPE) : 1:250-1:500
Limitations This DUSP6 antibody is available for research use only.
Review this product on BioCompare and get a $20 Amazon gift card

Related Products

  • Applications : WB, ELISA
    Reactivity : Human, Mouse
    Pred. Reactivity : Bovine
  • Applications : WB, ELISA (peptide)
    Reactivity : Human, Mouse, Rat, Pig
    Pred. Reactivity : Dog
  • Applications : WB, IHC-P, IF, FACS, Direct ELISA
    Reactivity : Human, Mouse, Rat

Description

DUSP6 activates MAP kinases. Has a specificity for the ERK family. [UniProt]

Application Notes

Titration of the DUSP6 antibody may be required due to differences in protocols and secondary/substrate sensitivity.

Immunogen

A portion of amino acids 58-89 from the human protein was used as the immunogen for this DUSP6 antibody.

Storage

Aliquot the DUSP6 antibody and store frozen at -20oC or colder. Avoid repeated freeze-thaw cycles.

Cross
Bulk Quote Request Form
Name*:
Organization*:
Email*:
Phone Number*:
Catalog No.*:
Comments and Specifics(amount, formulation, etc.)*:
Validation code: Captchapackage Image


Can't read the image? click here to refresh.
    *required field

Your bulk quote request has been submitted successfully!

Please contact us if you have any questions.