• Tel: 858.663.9055
  • SeparatorEmail: info@nsjbio.com
  • Tel: 858.663.9055
  • Email: info@nsjbio.com
Home >> Antibodies >> DSG3 Antibody / Desmoglein 3

DSG3 Antibody / Desmoglein 3 (RQ6975)

  Catalog No Formulation Size Price (USD)  
Image RQ6975 0.5mg/ml if reconstituted with 0.2ml sterile DI water 100 ug 439
Bulk quote request
Flow cytometry testing of human HepG2 cells with DSG3 antibody at 1ug/million cells (blocked with goat sera); Red=cells alone, Green=isotype control, Blue= DSG3 antibody.
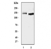
Western blot testing of human 1) A431 and 2) HaCaT cell lysate with DSG3 antibody. Predicted molecular weight: 107 kDa but may be observed at higher molecular weights due to glycosylation.
Availability 1-3 business days
Species Reactivity Human
Format Antigen affinity purified
Clonality Polyclonal (rabbit origin)
Isotype Rabbit IgG
Purity Antigen affinity purified
Buffer Lyophilized from 1X PBS with 2% Trehalose
UniProt P32926
Applications Western Blot : 0.5-1 ug/ml
Flow Cytometry : 1-3ug/million cells
Direct ELISA : 0.1-0.5ug/ml
Limitations This DSG3 antibody is available for research use only.
Review this product on BioCompare and get a $20 Amazon gift card

Related Products

Description

Desmoglein3 is also known as PVA(Pemphigus Vulgaris Antigen). Pemphigus vulgaris(PV) and pemphigus foliaceus(PF) are autoimmune diseases of the skin which have as target antigens 2 different members of the desmoglein subfamily of the desmosomal cadherins: pemphigus vulgaris antigen(PVA, or desmoglein-3) in the case of PV and desmoglein I in the case of PF. The DSG3 gene, like the genes for DSG1 and DSG2, is located on chromosome 18. The human DSG3 gene consists of 15 exons and spans more than 23 kb. DSG3 and DSG1 are the autoantigens of pemphigus vulgaris and pemphigus foliaceus, respectively. DSG3 and DSG1 are the target antigens in PNP, and IgG autoantibodies against DSG3 in PNP sera play a pathogenic role in the loss of keratinocyte adhesion and blistering.

Application Notes

Optimal dilution of the DSG3 antibody should be determined by the researcher.

Immunogen

Recombinant human protein (amino acids R384-Q957) was used as the immunogen for the DSG3 antibody.

Storage

After reconstitution, the DSG3 antibody can be stored for up to one month at 4oC. For long-term, aliquot and store at -20oC. Avoid repeated freezing and thawing.

Cross
Bulk Quote Request Form
Name*:
Organization*:
Email*:
Phone Number*:
Catalog No.*:
Comments and Specifics(amount, formulation, etc.)*:
Validation code: Captchapackage Image


Can't read the image? click here to refresh.
    *required field

Your bulk quote request has been submitted successfully!

Please contact us if you have any questions.