• Tel: 858.663.9055
  • SeparatorEmail: info@nsjbio.com
  • Tel: 858.663.9055
  • Email: info@nsjbio.com
Home >> Antibodies >> Drebrin 1 Antibody

Drebrin 1 Antibody [clone DBN1/3393] (V7712)

  Catalog No Formulation Size Price (USD)  
Image V7712-100UG 0.2 mg/ml in 1X PBS with 0.1 mg/ml BSA (US sourced) and 0.05% sodium azide 100 ug 539
Image
V7712-20UG 0.2 mg/ml in 1X PBS with 0.1 mg/ml BSA (US sourced) and 0.05% sodium azide 20 ug 249
Image
V7712SAF-100UG 1 mg/ml in 1X PBS; BSA free, sodium azide free 100 ug 539
Microvalidated
Bulk quote request
IHC staining of FFPE human cervix with Drebrin 1 antibody (clone DBN1/3393). HIER: boil tissue sections in pH 9 10mM Tris with 1mM EDTA for 10-20 min followed by cooling at RT for 20 min.
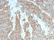
IHC staining of FFPE human neuroendocrine tumor with Drebrin 1 antibody (clone DBN1/3393). HIER: boil tissue sections in pH 9 10mM Tris with 1mM EDTA for 10-20 min followed by cooling at RT for 20 min.
Analysis of HuProt(TM) microarray containing more than 19,000 full-length human proteins using Drebrin 1 antibody (clone DBN1/3393). These results demonstrate the foremost specificity of the DBN1/3393 mAb.
Z- and S- score: The Z-score represents the strength of a signal that an antibody (in combination with a fluorescently-tagged anti-IgG secondary Ab) produces when binding to a particular protein on the HuProt(TM) array. Z-scores are described in units of standard deviations (SD's) above the mean value of all signals generated on that array. If the targets on the HuProt(TM) are arranged in descending order of the Z-score, the S-score is the difference (also in units of SD's) between the Z-scores. The S-score therefore represents the relative target specificity of an Ab to its intended target.
SDS-PAGE analysis of purified, BSA-free Drebrin 1 antibody (clone DBN1/3393) as confirmation of integrity and purity.
Western blot testing of human PC3 cell lysate with Drebrin 1 antibody (clone DBN1/3393). Expected molecular weight: 70-120 kDa.
Availability 1-3 business days
Species Reactivity Human
Format Purified
Clonality Monoclonal (mouse origin)
Isotype Mouse IgG1, kappa
Clone Name DBN1/3393
Purity Protein G affinity chromatography
UniProt Q16643
Localization Cytoplasmic
Applications Immunohistochemistry (FFPE) : 1-2ug/ml
Western Blot : 1-2ug/ml
Limitations This Drebrin 1 antibody is available for research use only.
Review this product on BioCompare and get a $20 Amazon gift card

Related Products

Description

Drebrins (developmentally regulated brain proteins) are cytoplasmic proteins that bind F-actin in the brain and are involved in cell migration, extension of neuronal processes and plasticity of dendrites. There are three isoforms: two embryonic types (E1 and E2); and an adult type (A), generated by alternative RNA splicing from a single Drebrin gene. Drebrins are expressed mainly in brain neurons but are also found in skeletal muscle, heart, placenta, pancreas and kidney. Drebrin has been designated as a marker of the dendritic spine. Decreases in Drebrin levels in the brain have been been associated with Alzheimer s disease and Down syndrome.

Application Notes

Optimal dilution of the Drebrin 1 antibody should be determined by the researcher.

Immunogen

A recombinant human partial protein (amino acids 150-281) was used as the immunogen for the Drebrin 1 antibody.

Storage

Store the Drebrin 1 antibody at 2-8oC (with azide) or aliquot and store at -20oC or colder (without azide).

Cross
Bulk Quote Request Form
Name*:
Organization*:
Email*:
Phone Number*:
Catalog No.*:
Comments and Specifics(amount, formulation, etc.)*:
Validation code: Captchapackage Image


Can't read the image? click here to refresh.
    *required field

Your bulk quote request has been submitted successfully!

Please contact us if you have any questions.