• Tel: 858.663.9055
  • SeparatorEmail: info@nsjbio.com
  • Tel: 858.663.9055
  • Email: info@nsjbio.com
Home >> Antibodies >> DRD1 Antibody Dopamine Receptor D1

DRD1 Antibody Dopamine Receptor D1 (R30647)

  Catalog No Formulation Size Price (USD)  
Image R30647 0.5mg/ml if reconstituted with 0.2ml sterile DI water 100 ug 439
Bulk quote request
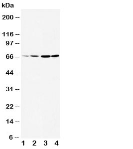
Western blot testing of DRD1 antibody and Lane 1: rat testis; 2: rat brain; 3: U87; 4: HeLa cell lysate. The larger than expected size may be due to glycosylation, phosphorylation or DRD1 heterodimerizing with another dopamine receptor (Ref 1).
Availability 1-3 business days
Species Reactivity Human, Mouse, Rat
Format Antigen affinity purified
Clonality Polyclonal (rabbit origin)
Isotype Rabbit IgG
Purity Antigen affinity
Buffer Lyophilized from 1X PBS with 2.5% BSA and 0.025% sodium azide/thimerosal
UniProt P21728
Applications Western Blot : 0.5-1ug/ml
IHC (FFPE) : 0.5-1ug/ml
Limitations This DRD1 antibody is available for research use only.
Review this product on BioCompare and get a $20 Amazon gift card

Related Products

Description

Dopamine receptor D1 is the most highly expressed DA receptor subtype among the DA receptor family. Receptors for dopamine have been classified into two functional types, D1 and D2. They belong to the family of receptors acting through G (or guanine nucleotide-binding) proteins. D2Rs inhibit adenylyl cyclase, but D1Rs stimulate adenylyl cyclase and activate cyclic AMP-dependent protein kinases. DRD1/2 are targets of drug therapy in many psychomotor disorders, including Parkinson's disease and schizophrenia, and may also have a role in drug addiction and alcoholism. D1Rs regulate neuron growth and differentiation, influence behaviour and modify DRD2-mediated events. And the presence of a DRD1 gene restriction fragment length polymorphism will be helpful for future disease linkage studies. This protein also regulates the neurochemical architecture of the striatum and is critical for the normal expression of motor activity.

Application Notes

Titration of the Dopamine Receptor D1 antibody may be required due to differences in protocols and secondary/substrate sensitivity.

Immunogen

Amino acids 221-242 (AQKQIRRIAALERAAVHAKNCQ-human) were used as the immunogen for this DRD1 antibody.

Storage

The DRD1 antibody can be stored at 4oC to -20oC. After reconstitution, aliquot and store at -20oC. Avoid repeated freeze/thaws.

Cross
Bulk Quote Request Form
Name*:
Organization*:
Email*:
Phone Number*:
Catalog No.*:
Comments and Specifics(amount, formulation, etc.)*:
Validation code: Captchapackage Image


Can't read the image? click here to refresh.
    *required field

Your bulk quote request has been submitted successfully!

Please contact us if you have any questions.