• Tel: 858.663.9055
  • SeparatorEmail: info@nsjbio.com
  • Tel: 858.663.9055
  • Email: info@nsjbio.com
Home >> Antibodies >> Doublecortin Antibody

Doublecortin Antibody (R34677)

  Catalog No Formulation Size Price (USD)  
Image R34677-100UG 0.5 mg/ml in 1X TBS, pH7.3, with 0.5% BSA (US sourced) and 0.02% sodium azide 100 ug 449
Bulk quote request
Western blot testing of mouse fetal brain lysate with Doublecortin antibody at 0.01ug/ml. Predicted molecular weight: 40-50 kDa.
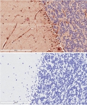
IHC testing of FFPE human cerebellum tissue with (top) and without (bottom) Doublecortin antibody at 2ug/ml. HIER: steam section in pH6 citrate buffer for 20 min.
IF/ICC testing of human HepG2 cells with Alexa Fluor 488 secondary (1ug/ml) and Doublecortin antibody (green, 5ug/ml). Blue = DAPI nuclear counterstain.
Availability 1-3 business days
Species Reactivity Human, Mouse
Predicted Reactivity Rat, Dog, Pig, Cow
Format Antigen affinity purified
Clonality Polyclonal (goat origin)
Isotype Goat Ig
Purity Antigen affinity
Gene ID 1641
Localization Cytoplasmic
Applications Western Blot : 0.01-0.03ug/ml
IHC (FFPE) : 2-4ug/ml
IF/ICC : 5ug/ml
ELISA (peptide) LOD : 1:32000
Limitations This Doublecortin antibody is available for research use only.
Review this product on BioCompare and get a $20 Amazon gift card

Related Products

Description

Additional name(s) for this target protein: DBCN, DC; DCX

Application Notes

Optimal dilution of the Doublecortin antibody should be determined by the researcher.

Immunogen

Amino acids KTSANMKAPQS were used as the immunogen for this Doublecortin antibody.

Storage

Aliquot and store the Doublecortin antibody at -20oC.

Cross
Bulk Quote Request Form
Name*:
Organization*:
Email*:
Phone Number*:
Catalog No.*:
Comments and Specifics(amount, formulation, etc.)*:
Validation code: Captchapackage Image


Can't read the image? click here to refresh.
    *required field

Your bulk quote request has been submitted successfully!

Please contact us if you have any questions.