• Tel: 858.663.9055
  • SeparatorEmail: info@nsjbio.com
  • Tel: 858.663.9055
  • Email: info@nsjbio.com
Home >> Antibodies >> DOT1L Antibody / KMT4

DOT1L Antibody / KMT4 [clone CBF-4] (RQ8948)

  Catalog No Formulation Size Price (USD)  
Image RQ8948 Antibody in PBS with 0.02% sodium azide, 50% glycerol and 0.4-0.5mg/ml BSA 100 ul 439
Microvalidated Recrabbitmono
Bulk quote request
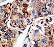
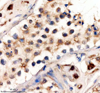
IHC staining of FFPE human testis tissue with DOT1L antibody, HRP-secondary and DAB substrate. HIER: boil tissue sections in pH8 EDTA for 20 min and allow to cool before testing.
Western blot testing of mouse RAW264.7 cell lysate with DOT1L antibody. Predicted molecular weight ~165 kDa.
Availability 1-2 weeks
Species Reactivity Human, Mouse
Format Purified
Clonality Recombinant Rabbit Monoclonal
Isotype Rabbit IgG
Clone Name CBF-4
Purity Affinity purified
UniProt Q8TEK3
Applications Western Blot : 1:500
Immunohistochemistry (FFPE) : 1:50
Limitations This DOT1L antibody is available for research use only.
Review this product on BioCompare and get a $20 Amazon gift card

Related Products

  • Applications : IHC, ELISA
    Reactivity : Human

Description

DOT1L antibody is a widely used reagent for studying epigenetic control, chromatin remodeling, and transcriptional regulation. The encoded protein, KMT4 (also known as disruptor of telomeric silencing 1 like), is a histone methyltransferase that specifically methylates histone H3 on lysine 79. This unique modification, located within the globular domain of histone H3, is strongly linked to transcriptional activation, DNA repair, and maintenance of genomic stability. Unlike most lysine methyltransferases that contain a SET domain, DOT1L is structurally distinct, highlighting its specialized role in epigenetic regulation.

KMT4 functions by altering chromatin accessibility and creating binding sites for regulatory proteins that control transcription and DNA damage response. During development, DOT1L plays critical roles in embryogenesis, hematopoiesis, and differentiation. Loss of DOT1L disrupts stem cell renewal and lineage commitment, demonstrating its essential role in developmental biology. Its activity is also important for maintaining telomeric silencing and ensuring proper chromosomal function.

Aberrant DOT1L activity has been strongly implicated in cancer. In mixed lineage leukemia (MLL) rearranged leukemias, DOT1L is aberrantly recruited to oncogenic transcriptional complexes, leading to inappropriate H3K79 methylation and activation of leukemia promoting genes. This discovery has made DOT1L a therapeutic target, and small molecule inhibitors of DOT1L are in clinical trials for treatment of MLL associated leukemias. Beyond leukemia, dysregulated DOT1L activity has been observed in solid tumors, cardiovascular disease, and viral infection, underscoring its wide biological significance.

At the molecular level, DOT1L associates with transcriptional elongation complexes and other chromatin modifiers, linking histone modification with gene expression control. Structural studies show that DOT1L interacts directly with the nucleosome core, uniquely positioning it to catalyze methylation of H3K79. Through these mechanisms, DOT1L serves as an integrator of epigenetic signaling and transcriptional activity, shaping the cellular transcriptome in response to developmental and environmental signals.

The DOT1L antibody is commonly used in western blotting, immunohistochemistry, immunofluorescence, and flow cytometry to detect expression levels, nuclear localization, and disease associated changes. These applications are valuable for exploring transcriptional regulation, epigenetic therapy, and cancer biology. For researchers studying chromatin structure, RNA polymerase II elongation, or targeted therapeutics, the DOT1L antibody provides a reliable and specific detection tool. NSJ Bioreagents offers validated antibodies designed to ensure accuracy and reproducibility in advanced molecular research.

Application Notes

Optimal dilution of the DOT1L antibody should be determined by the researcher.

Immunogen

A synthetic peptide specific to Disruptor of telomeric silencing 1 like protein was used as the immunogen for the DOT1L antibody.

Storage

Store the DOT1L antibody at -20oC.

Cross
Bulk Quote Request Form
Name*:
Organization*:
Email*:
Phone Number*:
Catalog No.*:
Comments and Specifics(amount, formulation, etc.)*:
Validation code: Captchapackage Image


Can't read the image? click here to refresh.
    *required field

Your bulk quote request has been submitted successfully!

Please contact us if you have any questions.