• Tel: 858.663.9055
  • SeparatorEmail: info@nsjbio.com
  • Tel: 858.663.9055
  • Email: info@nsjbio.com
Home >> Antibodies >> DOG1 Antibody / TMEM16A / ANO1

DOG1 Antibody / TMEM16A / ANO1 [clone RM440] (R20455)

  Catalog No Formulation Size Price (USD)  
Image R20455-0.1ML Antibody in PBS with 50% glycerol, 1% BSA and 0.09% sodium azide 100 ul 429
Microvalidated Recrabbitmono
Bulk quote request
Western blot testing of human small intestine tissue with recombinant DOG1 antibody at 1:200 dilution. Expected molecular weight 74-114 kDa but may be observed at higher molecular weights due to glycosylation.
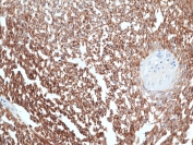
IHC staining of FFPE human gastrointestinal stroma tissue with recombinant DOG1 antibody at 1:100.
IHC staining of FFPE human colon tissue with recombinant DOG1 antibody at 1:100. DOG1-positive cells are interstitial cells of Cajal (ICCs) located within the muscle layer.
Availability 1-3 business days
Species Reactivity Human
Format Purified
Clonality Recombinant Rabbit Monoclonal
Isotype Rabbit IgG
Clone Name RM440
Purity Protein A purified from animal origin-free supernatant
UniProt Q5XXA6
Applications Immunohistochemistry (FFPE) : 1:50-1:100
Western Blot : 1:100-1:200
Limitations This recombinant DOG1 antibody is available for research use only.
Review this product on BioCompare and get a $20 Amazon gift card

Related Products

Description

This antibody reacts to ANO1 / DOG1 / TMEM16A.

Application Notes

The stated application concentrations are suggested starting points. Titration of the recombinant DOG1 antibody may be required due to differences in protocols and secondary/substrate sensitivity.

Immunogen

Recombinant human DOG1 protein was used as the immunogen for the recombinant DOG1 antibody.

Storage

Store the recombinant DOG1 antibody at -20oC.

Cross
Bulk Quote Request Form
Name*:
Organization*:
Email*:
Phone Number*:
Catalog No.*:
Comments and Specifics(amount, formulation, etc.)*:
Validation code: Captchapackage Image


Can't read the image? click here to refresh.
    *required field

Your bulk quote request has been submitted successfully!

Please contact us if you have any questions.