• Tel: 858.663.9055
  • SeparatorEmail: info@nsjbio.com
  • Tel: 858.663.9055
  • Email: info@nsjbio.com
Home >> Antibodies >> Dnmt3a Antibody

Dnmt3a Antibody (F40604)

  Catalog No Formulation Size Price (USD)  
Image F40604-0.4ML In 1X PBS, pH 7.4, with 0.09% sodium azide 0.4 ml 429
Image
F40604-0.08ML In 1X PBS, pH 7.4, with 0.09% sodium azide 0.08 ml 199
Bulk quote request
Western blot analysis of Dnmt3A antibody and Jurkat lysate. Predicted molecular weight: 100-130 kDa
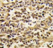
IHC analysis of FFPE human kidney tissue stained with the Dnmt3a antibody
Availability 1-3 business days
Species Reactivity Human
Predicted Reactivity Chicken, Mouse, Rat
Format Antigen affinity purified
Clonality Polyclonal (rabbit origin)
Isotype Rabbit Ig
Purity Antigen affinity
UniProt Q9Y6K1
Applications Western Blot : 1:1000
IHC (Paraffin) : 1:10-1:50
Limitations This Dnmt3a antibody is available for research use only.
Review this product on BioCompare and get a $20 Amazon gift card

Related Products

  • Applications : IHC-P, WB
    Reactivity : Human
    Microvalidated
  • Applications : WB
    Reactivity : Human
  • Applications : WB, ELISA
    Reactivity : Human
    Pred. Reactivity : Mouse, Rat
  • Applications : WB, IHC, ELISA
    Reactivity : Human, Mouse
    Pred. Reactivity : Chicken, Mouse, Rat
  • Applications : WB, IHC, ELISA
    Reactivity : Human
    Pred. Reactivity : Mouse, Rat
  • Applications : WB, ELISA
    Reactivity : Human
    Pred. Reactivity : Chicken, Mouse, Rat
  • Applications : WB, ELISA
    Reactivity : Human
    Pred. Reactivity : Chicken, Mouse, Rat
  • Applications : WB, ELISA
    Reactivity : Human
    Pred. Reactivity : Chicken, Mouse, Rat
  • Applications : WB, IHC, ICC, IF, IP, FACS, ELISA
    Reactivity : Human, Mouse, Rat

Description

CpG methylation is an epigenetic modification that is important for embryonic development, imprinting, and X-chromosome inactivation. Studies in mice have demonstrated that DNA methylation is required for mammalian development. Dnmt3a is a DNA methyltransferase that is thought to function in de novo methylation, rather than maintenance methylation. The protein localizes to the cytoplasm and nucleus and its expression is developmentally regulated. [Wiki]

Application Notes

Titration of the Dnmt3a antibody may be required due to differences in protocols and secondary/substrate sensitivity.

Immunogen

A portion of amino acids 457-486 from the human protein was used as the immunogen for this Dnmt3a antibody.

Storage

Aliquot the Dnmt3a antibody and store frozen at -20oC or colder. Avoid repeated freeze-thaw cycles.

Cross
Bulk Quote Request Form
Name*:
Organization*:
Email*:
Phone Number*:
Catalog No.*:
Comments and Specifics(amount, formulation, etc.)*:
Validation code: Captchapackage Image


Can't read the image? click here to refresh.
    *required field

Your bulk quote request has been submitted successfully!

Please contact us if you have any questions.