• Tel: 858.663.9055
  • SeparatorEmail: info@nsjbio.com
  • Tel: 858.663.9055
  • Email: info@nsjbio.com
Home >> Antibodies >> DNAJA1 Antibody / HDJ2

DNAJA1 Antibody / HDJ2 (F54837)

  Catalog No Formulation Size Price (USD)  
Image F54837-0.4ML In 1X PBS, pH 7.4, with 0.09% sodium azide 0.4 ml 429
Image
F54837-0.08ML In 1X PBS, pH 7.4, with 0.09% sodium azide 0.08 ml 199
Bulk quote request
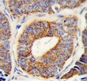
IHC testing of FFPE human prostate carcinoma tissue with DNAJA1 antibody. HIER: steam section in pH6 citrate buffer for 20 min and allow to cool prior to staining.
Western blot testing of human MCF7 cell lysate with DNAJA1 antibody. Predicted molecular weight ~45 kDa.
Western blot testing of 1) non-transfected and 2) transfected 293 cell lysate with DNAJA1 antibody.
Flow cytometry testing of human MCF7 cells with DNAJA1 antibody; Blue=isotype control, Green= DNAJA1 antibody.
Availability 1-3 business days
Species Reactivity Human
Format Purified
Clonality Polyclonal (rabbit origin)
Isotype Rabbit Ig
Purity Antigen affinity purified
UniProt P31689
Localization Cytoplasmic, nuclear
Applications Flow Cytometry : 1:10-1:50 (1x10e6 cells)
Immunohistochemistry (FFPE) : 1:50-1:100
Western Blot : 1:500-1:1000
Limitations This DNAJA1 antibody is available for research use only.
Review this product on BioCompare and get a $20 Amazon gift card

Related Products

  • Applications : WB
    Reactivity : Human, Mouse, Rat

Description

DnaJ homolog subfamily A member 1 plays a role in protein transport into mitochondria via its role as co-chaperone. Functions as co-chaperone for HSPA1B and negatively regulates the translocation of BAX from the cytosol to mitochondria in response to cellular stress, thereby protecting cells against apoptosis. [UniProt]

Application Notes

The stated application concentrations are suggested starting points. Titration of the DNAJA1 antibody may be required due to differences in protocols and secondary/substrate sensitivity.

Immunogen

A portion of amino acids 294-323 from the human protein was used as the immunogen for the DNAJA1 antibody.

Storage

Aliquot the DNAJA1 antibody and store frozen at -20oC or colder. Avoid repeated freeze-thaw cycles.

Cross
Bulk Quote Request Form
Name*:
Organization*:
Email*:
Phone Number*:
Catalog No.*:
Comments and Specifics(amount, formulation, etc.)*:
Validation code: Captchapackage Image


Can't read the image? click here to refresh.
    *required field

Your bulk quote request has been submitted successfully!

Please contact us if you have any questions.