• Tel: 858.663.9055
  • SeparatorEmail: info@nsjbio.com
  • Tel: 858.663.9055
  • Email: info@nsjbio.com
Home >> Antibodies >> DNA polymerase beta Antibody / POLB

DNA polymerase beta Antibody / POLB (R31898)

  Catalog No Formulation Size Price (USD)  
Image R31898 0.5mg/ml if reconstituted with 0.2ml sterile DI water 100 ug 439
Bulk quote request
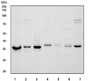
Western blot testing of 1) human K562, 2) human HeLa, 3) human Jurkat, 4) rat brain, 5) rat spleen, 6) mouse brain and 7) mouse spleen tissue lysate with DNA polymerase beta antibody. Predicted molecular weight ~38 kDa.
Availability 1-3 business days
Species Reactivity Human, Mouse, Rat
Format Antigen affinity purified
Clonality Polyclonal (rabbit origin)
Isotype Rabbit IgG
Purity Antigen affinity
Buffer Lyophilized from 1X PBS with 2% Trehalose
UniProt P06746
Applications Western Blot : 0.5-1ug/ml
Limitations This DNA polymerase beta antibody is available for research use only.
Review this product on BioCompare and get a $20 Amazon gift card

Related Products

Description

Polymerase (DNA directed), beta, also known as POLB, is an enzyme that, in humans, is encoded by the POLB gene. It is localized on 8p11.2. The protein encoded by this gene is a DNA polymerase involved in base excision and repair, also called gap-filling DNA synthesis. It is found that a truncated POLB is expressed in primary colorectal tumors and inhibits the normal repair function of wildtype POLB. The encoded protein, acting as a monomer, is normally found in the cytoplasm, but it translocates to the nucleus upon DNA damage. Several transcript variants of this gene exist, but the full-length nature of only one has been described to date. Additionally, human POLB forms a complex with and is methylated by PRMT6. In vitro, methylated POLB possesses significantly higher DNA polymerase activity when compared to that of unmodified enzyme. The increase in DNA polymerase activity upon methylation is due to the enhanced DNA binding and processivity of POLB.

Application Notes

Optimal dilution of the DNA polymerase beta antibody should be determined by the researcher.

Immunogen

Amino acids 122-335 of human POLB were used as the immunogen for the DNA polymerase beta antibody.

Storage

After reconstitution, the DNA polymerase beta antibody can be stored for up to one month at 4oC. For long-term, aliquot and store at -20oC. Avoid repeated freezing and thawing.

Cross
Bulk Quote Request Form
Name*:
Organization*:
Email*:
Phone Number*:
Catalog No.*:
Comments and Specifics(amount, formulation, etc.)*:
Validation code: Captchapackage Image


Can't read the image? click here to refresh.
    *required field

Your bulk quote request has been submitted successfully!

Please contact us if you have any questions.