• Tel: 858.663.9055
  • SeparatorEmail: info@nsjbio.com
  • Tel: 858.663.9055
  • Email: info@nsjbio.com
Home >> Antibodies >> DNA nucleotidylexotransferase Antibody / TdT

DNA nucleotidylexotransferase Antibody / TdT [clone DNTT/4506R] (V8879)

  Catalog No Formulation Size Price (USD)  
Image V8879-100UG 0.2 mg/ml in 1X PBS with 0.1 mg/ml BSA (US sourced), 0.05% sodium azide 100 ug 539
Image
V8879-20UG 0.2 mg/ml in 1X PBS with 0.1 mg/ml BSA (US sourced), 0.05% sodium azide 20 ug 249
Image
V8879SAF-100UG 1 mg/ml in 1X PBS; BSA free, sodium azide free 100 ug 539
Microvalidated Recrabbitmono
Bulk quote request
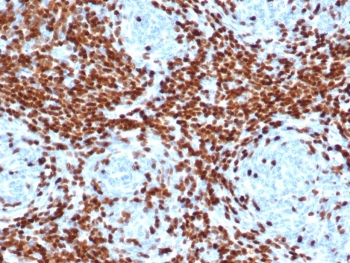
IHC staining of FFPE human thymus with DNA nucleotidylexotransferase antibody (clone DNTT/4506R). HIER: boil tissue sections in pH 9 10mM Tris with 1mM EDTA for 20 min and allow to cool before testing.
IHC staining of FFPE human thymus tissue with DNA nucleotidylexotransferase antibody (clone DNTT/4506R). HIER: boil tissue sections in pH 9 10mM Tris with 1mM EDTA for 20 min and allow to cool before testing.
Negative control: IHC staining of FFPE human brain tissue with DNA nucleotidylexotransferase antibody (clone DNTT/4506R) at 2ug/ml in PBS for 30min RT. HIER: boil tissue sections in pH 9 10mM Tris with 1mM EDTA for 20 min and allow to cool before testing.
Availability 1-3 business days
Species Reactivity Human
Format Purified
Clonality Recombinant Rabbit Monoclonal
Isotype Rabbit IgG, kappa
Clone Name DNTT/4506R
Purity Protein A/G affinity
UniProt P04053
Localization Nucleus
Applications Immunohistochemistry (FFPE) : 1-2ug/ml
Limitations This DNA nucleotidylexotransferase antibody is available for research use only.
Review this product on BioCompare and get a $20 Amazon gift card

Related Products

Description

Terminal deoxynucleotidyl transferase (TdT) is an unusual deoxynucleotide polymerizing enzyme with a molecular weight of about 58 kDa found normally only in B- and T-cell lymphoblasts/prelymphocytes. TdT generates antigen receptor diversity by synthesizing non-germ line elements (N-regions) at the junctions of rearranged Ig heavy chain and T cell receptor gene segments. Rare TdT-positive cells are regularly detected in thymus and bone marrow. Typically, TdT expression in the thymus is very variable from cell to cell since it is rapidly decreased in more mature T-cells. TdT-positive cells may occasionally be found in tonsils, lymph nodes and extranodal lymphoid tissue. Immunohistochemical detection of TdT has value in classification of malignant lymphomas and acute leukemias, particularly for the identification of pre-B and pre-T acute lymphoblastic leukemia/lymphoblastic lymphoma (ALL/LBL).

Application Notes

Optimal dilution of the DNA nucleotidylexotransferase antibody should be determined by the researcher.

Immunogen

A portion of amino acids 1-100 from the human protein was used as the immunogen for the DNA nucleotidylexotransferase antibody.

Storage

Aliquot the DNA nucleotidylexotransferase antibody and store frozen at -20oC or colder. Avoid repeated freeze-thaw cycles.

Cross
Bulk Quote Request Form
Name*:
Organization*:
Email*:
Phone Number*:
Catalog No.*:
Comments and Specifics(amount, formulation, etc.)*:
Validation code: Captchapackage Image


Can't read the image? click here to refresh.
    *required field

Your bulk quote request has been submitted successfully!

Please contact us if you have any questions.