• Tel: 858.663.9055
  • SeparatorEmail: info@nsjbio.com
  • Tel: 858.663.9055
  • Email: info@nsjbio.com
Home >> Antibodies >> DMRT2 Antibody

DMRT2 Antibody (R34631)

  Catalog No Formulation Size Price (USD)  
Image R34631-100UG 0.5 mg/ml in 1X TBS, pH7.3, with 0.5% BSA (US sourced) and 0.02% sodium azide 100 ug 449
Bulk quote request
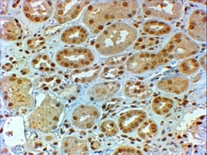
IHC testing of FFPE human kidney with DMRT2 antibody at 2ug/ml. HIER: steamed with pH6 citrate buffer, HRP-staining.
Availability 1-3 business days
Species Reactivity Human
Predicted Reactivity Cow, Mouse, Rat
Format Antigen affinity purified
Clonality Polyclonal (goat origin)
Isotype Goat Ig
Purity Antigen affinity
Gene ID 10655
Applications Immunohistochemistry (FFPE) : 2-4ug/ml
ELISA (peptide) LOD : 1:8000
Limitations This DMRT2 antibody is available for research use only.
Review this product on BioCompare and get a $20 Amazon gift card

Related Products

Description

Additional name(s) for this target protein: Doublesex and mab-3 related transcription factor 2

Application Notes

Optimal dilution of the DMRT2 antibody should be determined by the researcher.

1. This DMRT2 antibody is specific to isoform 2.

Immunogen

Amino acids KRPSSAITRVSQ were used as the immunogen for this DMRT2 antibody.

Storage

Aliquot and store the DMRT2 antibody at -20oC.

Cross
Bulk Quote Request Form
Name*:
Organization*:
Email*:
Phone Number*:
Catalog No.*:
Comments and Specifics(amount, formulation, etc.)*:
Validation code: Captchapackage Image


Can't read the image? click here to refresh.
    *required field

Your bulk quote request has been submitted successfully!

Please contact us if you have any questions.