• Tel: 858.663.9055
  • SeparatorEmail: info@nsjbio.com
  • Tel: 858.663.9055
  • Email: info@nsjbio.com
Home >> Antibodies >> DLL3 Antibody

DLL3 Antibody (F54277)

  Catalog No Formulation Size Price (USD)  
Image F54277-0.4ML In 1X PBS, pH 7.4, with 0.09% sodium azide 0.4 ml 429
Image
F54277-0.08ML In 1X PBS, pH 7.4, with 0.09% sodium azide 0.08 ml 199
Bulk quote request
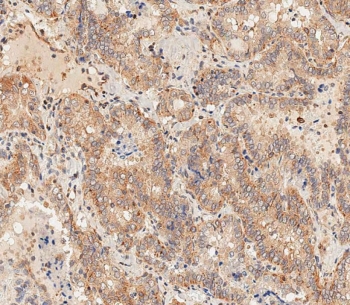
IHC testing of FFPE human thyroid carcinoma tissue with DLL3 antibody. HIER: steam section in pH6 citrate buffer for 20 min and allow to cool prior to staining.
IHC testing of FFPE human brain tissue with DLL3 antibody. HIER: steam section in pH6 citrate buffer for 20 min and allow to cool prior to staining.
Immunofluorescent staining of fixed and permeabilized human 293 cells with DLL3 antibody (green) and DAPI nuclear stain (blue).
Western blot testing of human 1) 293, 2) A549, 3) brain, 4) SH-SY5Y and 5) U-2 OS lysate with DLL3 antibody. Predicted molecular weight: ~65 kDa.
Western blot testing of human 1) TT and 2) brain lysate with DLL3 antibody. Predicted molecular weight: ~65 kDa.
Availability 1-3 business days
Species Reactivity Human
Format Purified
Clonality Polyclonal (rabbit origin)
Isotype Rabbit Ig
Purity Antigen affinity purified
UniProt Q9NYJ7
Applications Western Blot : 1:500-1:2000
Immunohistochemistry (FFPE) : 1:25
Immunofluorescence : 1:25
Limitations This DLL3 antibody is available for research use only.
Review this product on BioCompare and get a $20 Amazon gift card

Related Products

Description

This gene encodes a member of the delta protein ligand family. This family functions as Notch ligands that are characterized by a DSL domain, EGF repeats, and a transmembrane domain. Mutations in this gene cause autosomal recessive spondylocostal dysostosis 1. Two transcript variants encoding distinct isoforms have been identified for this gene. [provided by RefSeq].

Application Notes

The stated application concentrations are suggested starting points. Titration of the DLL3 antibody may be required due to differences in protocols and secondary/substrate sensitivity.

Immunogen

A portion of amino acids 545-573 from the human protein were used as the immunogen for the DLL3 antibody.

Storage

Aliquot the DLL3 antibody and store frozen at -20oC or colder. Avoid repeated freeze-thaw cycles.

Cross
Bulk Quote Request Form
Name*:
Organization*:
Email*:
Phone Number*:
Catalog No.*:
Comments and Specifics(amount, formulation, etc.)*:
Validation code: Captchapackage Image


Can't read the image? click here to refresh.
    *required field

Your bulk quote request has been submitted successfully!

Please contact us if you have any questions.