• Tel: 858.663.9055
  • SeparatorEmail: info@nsjbio.com
  • Tel: 858.663.9055
  • Email: info@nsjbio.com
Home >> Antibodies >> DLL3 Antibody / Delta-like protein 3

DLL3 Antibody / Delta-like protein 3 [clone DLL3/9361] (V5653)

  Catalog No Formulation Size Price (USD)  
Image V5653-100UG 0.2 mg/ml in 1X PBS with 0.1 mg/ml BSA (US sourced), 0.05% sodium azide 100 ug 539
Image
V5653-20UG 0.2 mg/ml in 1X PBS with 0.1 mg/ml BSA (US sourced), 0.05% sodium azide 20 ug 249
Image
V5653SAF-100UG 1 mg/ml in 1X PBS; BSA free, sodium azide free 100 ug 539
Bulk quote request
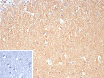
IHC staining of FFPE human brain tissue with DLL3 antibody (clone DLL3/9361). Inset: PBS used in place of primary Ab (secondary Ab negative control). HIER: boil tissue sections in pH 9 10mM Tris with 1mM EDTA for 20 min and allow to cool before testing.
SDS-PAGE analysis of purified, BSA-free DLL3 antibody (clone DLL3/9361) as confirmation of integrity and purity.
Availability 1-3 business days
Species Reactivity Human
Format Purified
Clonality Monoclonal (mouse origin)
Isotype Mouse IgG2c, kappa
Clone Name DLL3/9361
Purity Protein A/G affinity
UniProt Q9NYJ7
Localization Cell surface, Membrane
Applications Immunohistochemistry (FFPE) : 1-2ug/ml
Limitations This DLL3 antibody is available for research use only.
Review this product on BioCompare and get a $20 Amazon gift card

Related Products

Description

This gene encodes a member of the delta protein ligand family. This family functions as Notch ligands that are characterized by a DSL domain, EGF repeats, and a transmembrane domain. Mutations in this gene cause autosomal recessive spondylocostal dysostosis 1. Two transcript variants encoding distinct isoforms have been identified for this gene.

Application Notes

Optimal dilution of the DLL3 antibody should be determined by the researcher.

Immunogen

A portion of amino acids 400-618 from human DLL3 protein was used as the immunogen for the DLL3 antibody.

Storage

Aliquot the DLL3 antibody and store frozen at -20oC or colder. Avoid repeated freeze-thaw cycles.

Cross
Bulk Quote Request Form
Name*:
Organization*:
Email*:
Phone Number*:
Catalog No.*:
Comments and Specifics(amount, formulation, etc.)*:
Validation code: Captchapackage Image


Can't read the image? click here to refresh.
    *required field

Your bulk quote request has been submitted successfully!

Please contact us if you have any questions.