• Tel: 858.663.9055
  • SeparatorEmail: info@nsjbio.com
  • Tel: 858.663.9055
  • Email: info@nsjbio.com
Home >> Antibodies >> DJ-1 Antibody / PARK7

DJ-1 Antibody / PARK7 (R31721)

  Catalog No Formulation Size Price (USD)  
Image R31721 0.5mg/ml if reconstituted with 0.2ml sterile DI water 100 ug 439
Bulk quote request
Immunofluorescent staining of FFPE human SK-O-V3 cells with DJ-1 antibody (green) and DAPI nuclear stain (blue). HIER: steam section in pH6 citrate buffer for 20 min.
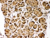
IHC-P: DJ-1 antibody testing of human pancreatic cancer tissue. HIER: steamed with pH6 citrate buffer.
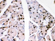
IHC-P: DJ-1 antibody testing of mouse pancreas tissue. HIER: steamed with pH6 citrate buffer.
IHC-P: DJ-1 antibody testing of rat pancreas tissue. HIER: steamed with pH6 citrate buffer.
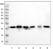
Western blot testing 1) human 293T, 2) human PANC-1, 3) human HeLa, 4) human U-251, 5) rat kidney and 6) mouse kidney tissue lysate with DJ-1 antibody. Predicted molecular weight ~20 kDa.
Immunoprecipitation of DJ-1 protein from 500ug of human HeLa whole cell lysate with 2ug of DJ-1 antibody.
Availability 1-3 business days
Species Reactivity Human, Mouse, Rat
Format Antigen affinity purified
Clonality Polyclonal (rabbit origin)
Isotype Rabbit IgG
Purity Antigen affinity
Buffer Lyophilized from 1X PBS with 2.5% BSA and 0.025% sodium azide
Gene ID 11315
Localization Cytoplasmic & Nuclear
Applications Western Blot : 0.5-1ug/ml
Immunohistochemistry (FFPE) : 0.5-1ug/ml
Immunofluorescence : 5ug/ml
Immunoprecipitation : 2ug per 500ug of lysate
Limitations DJ-1 antibody is available for research use only.
Review this product on BioCompare and get a $20 Amazon gift card

Related Products

  • Applications : WB, IHC-P, IF, FACS
    Reactivity : Human
  • Applications : WB, IF, ELISA
    Reactivity : Human, Mouse
    Pred. Reactivity : Bovine, Zebrafish
    Citation  Citations(1)
  • Applications : WB, IF/ICC, ELISA (peptide)
    Reactivity : Human, Mouse, Rat
  • Applications : WB, ELISA (peptide)
    Reactivity : Human, Mouse, Rat
  • Applications : WB, IHC-P, ELISA
    Reactivity : Rat, Mouse
  • Applications : WB
    Reactivity : Zebrafish

Description

DJ-1 (also called PARK7) is a multifunctional protein involved in cellular protection against oxidative stress and regulation of mitochondrial function. It plays a critical role in maintaining redox balance and supporting neuronal survival.

DJ-1 acts as a molecular chaperone and sensor of oxidative stress, becoming activated under conditions of cellular damage. It also participates in transcriptional regulation and protects proteins from aggregation, highlighting its importance in cellular defense mechanisms.

For research applications, a high-quality DJ-1 antibody is valuable in western blot, immunohistochemistry, and immunofluorescence. NSJ Bioreagents offers a reliable DJ-1 antibody to support studies of oxidative stress, neuroprotection, and protein quality control. Using a well-validated DJ-1 antibody ensures consistent and reproducible results.

Application Notes

The stated application concentrations are suggested starting amounts. Titration of the DJ-1 antibody may be required due to differences in protocols and secondary/substrate sensitivity.

Immunogen

Human partial recombinant protein (AA 2-189) was used as the immunogen for this DJ-1 antibody.

Storage

After reconstitution, the DJ-1 antibody can be stored for up to one month at 4oC. For long-term, aliquot and store at -20oC. Avoid repeated freezing and thawing.

Cross
Bulk Quote Request Form
Name*:
Organization*:
Email*:
Phone Number*:
Catalog No.*:
Comments and Specifics(amount, formulation, etc.)*:
Validation code: Captchapackage Image


Can't read the image? click here to refresh.
    *required field

Your bulk quote request has been submitted successfully!

Please contact us if you have any questions.