• Tel: 858.663.9055
  • SeparatorEmail: info@nsjbio.com
  • Tel: 858.663.9055
  • Email: info@nsjbio.com
Home >> Antibodies >> Dishevelled Antibody / DVL1

Dishevelled Antibody / DVL1 (F54235)

  Catalog No Formulation Size Price (USD)  
Image F54235-0.4ML In 1X PBS, pH 7.4, with 0.09% sodium azide 0.4 ml 429
Image
F54235-0.08ML In 1X PBS, pH 7.4, with 0.09% sodium azide 0.08 ml 199
Bulk quote request
Western blot testing of human 1) K562, 2) MDA-MB-453, 3) PC-3 and 4) kidney lysate with Dishevelled antibody. Predicted molecular weight ~75 kDa.
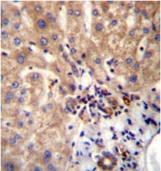
IHC testing of FFPE human liver tissue with Dishevelled antibody. HIER: steam section in pH6 citrate buffer for 20 min and allow to cool prior to staining.
IHC testing of FFPE human skeletal muscle tissue with Dishevelled antibody. HIER: steam section in pH6 citrate buffer for 20 min and allow to cool prior to staining.
Immunofluorescent staining of fixed and permeabilized human HepG2 cells with Dishevelled antibody (green), DAPI nuclear stain (blue) and anti-Actin (red).
Availability 1-3 business days
Species Reactivity Human
Format Purified
Clonality Polyclonal (rabbit origin)
Isotype Rabbit Ig
Purity Antigen affinity purified
UniProt O14640
Gene ID 1855
Localization Cytoplasmic
Applications Western Blot : 1:1000-1:2000
Immunohistochemistry (FFPE) : 1:25-1:50
Immunofluorescence : 1:25
Limitations This Dishevelled antibody is available for research use only.
Review this product on BioCompare and get a $20 Amazon gift card

Related Products

  • Applications : WB, ELISA (peptide)
    Reactivity : Human, Mouse, Rat, Pig
  • Applications : WB, ELISA (peptide)
    Reactivity : Mouse
    Pred. Reactivity : Rat, Pig, Cow

Description

DVL1, the human homolog of the Drosophila dishevelled gene (dsh) encodes a cytoplasmic phosphoprotein that regulates cell proliferation, acting as a transducer molecule for developmental processes, including segmentation and neuroblast specification. DVL1 is a candidate gene for neuroblastomatous transformation. The Schwartz-Jampel syndrome and Charcot-Marie-Tooth disease type 2A have been mapped to the same region as DVL1. The phenotypes of these diseases may be consistent with defects which might be expected from aberrant expression of a DVL gene during development.

Application Notes

The stated application concentrations are suggested starting points. Titration of the Dishevelled antibody may be required due to differences in protocols and secondary/substrate sensitivity.

Immunogen

A portion of amino acids 442-470 from the human protein were used as the immunogen for the Dishevelled antibody.

Storage

Aliquot the Dishevelled antibody and store frozen at -20oC or colder. Avoid repeated freeze-thaw cycles.

Cross
Bulk Quote Request Form
Name*:
Organization*:
Email*:
Phone Number*:
Catalog No.*:
Comments and Specifics(amount, formulation, etc.)*:
Validation code: Captchapackage Image


Can't read the image? click here to refresh.
    *required field

Your bulk quote request has been submitted successfully!

Please contact us if you have any questions.