• Tel: 858.663.9055
  • SeparatorEmail: info@nsjbio.com
  • Tel: 858.663.9055
  • Email: info@nsjbio.com
Home >> Antibodies >> DISC1 Antibody

DISC1 Antibody (R31132)

  Catalog No Formulation Size Price (USD)  
Image R31132 0.5mg/ml if reconstituted with 0.2ml sterile DI water 100 ug 439
Bulk quote request
Western blot testing of DISC1 antbody and U87 lysate. Expected/observed molecular weight: ~94kDa.
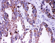
IHC-P: DISC1 antibody testing of human lung cancer tissue. HIER: steamed with pH6 citrate buffer.
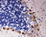
IHC-P: DISC1 antibody testing of rat cerebellum tissue. HIER: steamed with pH6 citrate buffer.
Availability 1-3 business days
Species Reactivity Human, Mouse
Format Antigen affinity purified
Clonality Polyclonal (rabbit origin)
Isotype Rabbit IgG
Purity Antigen affinity
Buffer Lyophilized from 1X PBS with 2.5% BSA and 0.025% sodium azide/thimerosal
UniProt Q9NRI5
Applications Western Blot : 0.5-1ug/ml
IHC (FFPE) : 0.5-1ug/ml
Limitations This DISC1 antibody is available for research use only.
Review this product on BioCompare and get a $20 Amazon gift card

Related Products

  • Applications : WB
    Reactivity : Human
  • Applications : WB, ELISA (peptide)
    Reactivity : Human

Description

Disrupted in Schizophrenia 1 is a protein that is encoded by the DISC1 gene in humans. Ma et al. (2002) determined that the mouse gene maps to chromosome 8 in a region with homology of synteny to human chromosome 1q42. Ozeki et al. (2003) demonstrated that rodent Disc1 expression displayed pronounced developmental regulation, with the highest levels in late embryonic life during development of the cerebral cortex. Millar et al.(2005) showed that the protein interacts with the UCR2 domain of phosphodiesterase-4B, implicated in susceptibility to schizophrenia, and that elevation of cellular cAMP leads to dissociation of PDE4B from DISC1 and in increase in PDE4B activity.

Application Notes

The stated application concentrations are suggested starting amounts. Titration of the DISC1 antibody may be required due to differences in protocols and secondary/substrate sensitivity.

Immunogen

An amino acid sequence from the middle region of human Disrupted in Schizophrenia 1 (EKQQLQKEIEALQARMF) was used as the immunogen for this DISC1 antibody.

Storage

After reconstitution, the DISC1 antibody can be stored for up to one month at 4oC. For long-term, aliquot and store at -20oC. Avoid repeated freezing and thawing.

Cross
Bulk Quote Request Form
Name*:
Organization*:
Email*:
Phone Number*:
Catalog No.*:
Comments and Specifics(amount, formulation, etc.)*:
Validation code: Captchapackage Image


Can't read the image? click here to refresh.
    *required field

Your bulk quote request has been submitted successfully!

Please contact us if you have any questions.