• Tel: 858.663.9055
  • SeparatorEmail: info@nsjbio.com
  • Tel: 858.663.9055
  • Email: info@nsjbio.com
Home >> Antibodies >> Diphosphomevalonate decarboxylase Antibody / MVD

Diphosphomevalonate decarboxylase Antibody / MVD (RQ8521)

  Catalog No Formulation Size Price (USD)  
Image RQ8521 0.5mg/ml if reconstituted with 0.2ml sterile DI water 100 ug 439
Bulk quote request
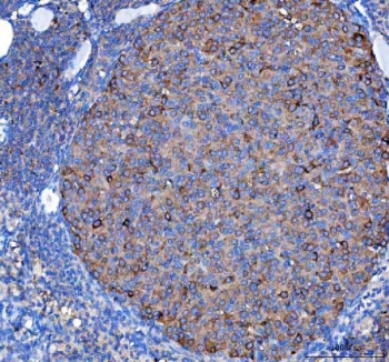
IHC staining of FFPE mouse ovary tissue with Diphosphomevalonate decarboxylase antibody. HIER: boil tissue sections in pH8 EDTA for 20 min and allow to cool before testing.
Western blot testing of human 1) HepG2, 2) MCF7, 3) K562 and 4) Caco-2 cell lysate with Diphosphomevalonate decarboxylase antibody. Predictec molecular weight ~43 kDa.
Flow cytometry testing of fixed and permeabilized human MCF7 cells with Diphosphomevalonate decarboxylase antibody at 1ug/million cells (blocked with goat sera); Red=cells alone, Green=isotype control, Blue= Diphosphomevalonate decarboxylase antibody.
Availability 1-3 days
Species Reactivity Human, Mouse
Format Antigen affinity purified
Clonality Polyclonal (rabbit origin)
Isotype Rabbit IgG
Purity Antigen affinity purified
Buffer Lyophilized from 1X PBS with 2% Trehalose
UniProt P53602
Localization Cytoplasm
Applications Western Blot : 0.5-1ug/ml
Immunohistochemistry (FFPE) : 2-5ug/ml
Flow Cytometry : 1-3ug/million cells
ELISA : 0.1-0.5ug/ml
Limitations This Diphosphomevalonate decarboxylase antibody is available for research use only.
Review this product on BioCompare and get a $20 Amazon gift card

Related Products

Description

The enzyme mevalonate pyrophosphate decarboxylase (MVD; EC 4.1.1.33) catalyzes the conversion of mevalonate pyrophosphate into isopentenyl pyrophosphate. This unusual enzyme decarboxylates and dehydrates its substrate while hydrolyzing ATP. As a unique enzyme in one of the early steps in cholesterol biosynthesis, MVD may be a useful target for drugs aimed at lowering serum cholesterol levels. This gene is mapped to chromosome 16q24.3 based on an alignment of the MVD sequence.

Application Notes

Optimal dilution of the Diphosphomevalonate decarboxylase antibody should be determined by the researcher.

Immunogen

An E.coli-derived human recombinant protein (amino acids E62-Q374) was used as the immunogen for the Diphosphomevalonate decarboxylase antibody.

Storage

After reconstitution, the Diphosphomevalonate decarboxylase antibody can be stored for up to one month at 4oC. For long-term, aliquot and store at -20oC. Avoid repeated freezing and thawing.

Cross
Bulk Quote Request Form
Name*:
Organization*:
Email*:
Phone Number*:
Catalog No.*:
Comments and Specifics(amount, formulation, etc.)*:
Validation code: Captchapackage Image


Can't read the image? click here to refresh.
    *required field

Your bulk quote request has been submitted successfully!

Please contact us if you have any questions.