• Tel: 858.663.9055
  • SeparatorEmail: info@nsjbio.com
  • Tel: 858.663.9055
  • Email: info@nsjbio.com
Home >> Antibodies >> DHODH Antibody / Dihydroorotate dehydrogenase

DHODH Antibody / Dihydroorotate dehydrogenase (R32524)

  Catalog No Formulation Size Price (USD)  
Image R32524 0.5mg/ml if reconstituted with 0.2ml sterile DI water 100 ug 439
Bulk quote request
Western blot testing of 1) rat liver, 2) mouse spleen and 3) human HepG2 lysate with DHODH antibody at 0.5ug/ml. Predicted/observed molecular weight ~43 kDa.
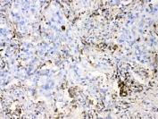
IHC testing of FFPE human lung cancer tissue with DHODH antibody at 1ug/ml. HIER: steam section in pH6 citrate buffer for 20 min.
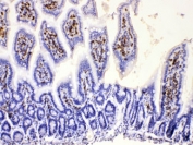
IHC testing of FFPE mouse intestine with DHODH antibody at 1ug/ml. HIER: steam section in pH6 citrate buffer for 20 min.
IHC testing of FFPE rat intestine with DHODH antibody at 1ug/ml. HIER: steam section in pH6 citrate buffer for 20 min.
Availability 1-3 business days
Species Reactivity Human, Mouse, Rat
Format Antigen affinity purified
Clonality Polyclonal (rabbit origin)
Isotype Rabbit IgG
Purity Antigen affinity
Buffer Lyophilized from 1X PBS with 2.5% BSA and 0.025% sodium azide
UniProt Q02127
Localization Cytoplasmic, nuclear
Applications Western Blot : 0.5-1ug/ml
IHC (FFPE) : 1-2ug/ml
Limitations This DHODH antibody is available for research use only.
Review this product on BioCompare and get a $20 Amazon gift card

Related Products

  • Applications : WB, IF, FACS
    Reactivity : Human, Mouse, Rat
  • Applications : WB, IHC-P
    Reactivity : Human, Mouse, Rat

Description

Dihydroorotate dehydrogenase is an enzyme that in humans is encoded by the DHODH gene on chromosome 16. The protein encoded by this gene catalyzes the fourth enzymatic step, the ubiquinone-mediated oxidation of dihydroorotate to orotate, in de novo pyrimidine biosynthesis. This protein is a mitochondrial protein located on the outer surface of the inner mitochondrial membrane.

Application Notes

Differences in protocols and secondary/substrate sensitivity may require the DHODH antibody to be titrated for optimal performance.

Immunogen

Amino acids 132-173 (RVFRLPEDQAVINRYGFNSHGLSVVEHRLRARQQKQAKLTED) from the human protein were used as the immunogen for the DHODH antibody.

Storage

After reconstitution, the DHODH antibody can be stored for up to one month at 4oC. For long-term, aliquot and store at -20oC. Avoid repeated freezing and thawing.

Cross
Bulk Quote Request Form
Name*:
Organization*:
Email*:
Phone Number*:
Catalog No.*:
Comments and Specifics(amount, formulation, etc.)*:
Validation code: Captchapackage Image


Can't read the image? click here to refresh.
    *required field

Your bulk quote request has been submitted successfully!

Please contact us if you have any questions.