• Tel: 858.663.9055
  • SeparatorEmail: info@nsjbio.com
  • Tel: 858.663.9055
  • Email: info@nsjbio.com
Home >> Antibodies >> DGAT1 Antibody / Diacylglycerol O-acyltransferase 1

DGAT1 Antibody / Diacylglycerol O-acyltransferase 1 [clone 23D11] (RQ8914)

  Catalog No Formulation Size Price (USD)  
Image RQ8914 Antibody in PBS with 0.02% sodium azide, 50% glycerol and 0.4-0.5mg/ml BSA 100 ul 439
Microvalidated Recrabbitmono
Bulk quote request
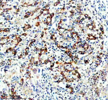
IHC staining of FFPE human stomach cancer tissue with DGAT1 antibody, HRP-secondary and DAB substrate. HIER: boil tissue sections in pH8 EDTA for 20 min and allow to cool before testing.
Western blot testing of human 1) HeLa, 2) PC-3, 3) HepG2 and 4) Caco-2 cell lysate with DGAT1 antibody. Predicted molecular weight ~55 kDa, commonly observed at 45-55 kDa.
Availability 1-3 days
Species Reactivity Human
Format Purified
Clonality Recombinant Rabbit Monoclonal
Isotype Rabbit IgG
Clone Name 23D11
Purity Affinity chromatography
UniProt O75907
Localization Cytoplasm (ER)
Applications Western Blot : 1:500
Immunohistochemistry (FFPE) : 1:50
Limitations This DGAT1 antibody is available for research use only.
Review this product on BioCompare and get a $20 Amazon gift card

Related Products

Description

DGAT1 (Diacylglycerol O-acyltransferase 1) is an integral membrane enzyme that catalyzes the final step in triacylglycerol biosynthesis by converting diacylglycerol and acyl-CoA into triglycerides. This reaction is central to lipid metabolism, energy storage, and dietary fat absorption. A DGAT1 antibody is frequently used to study lipid homeostasis and metabolic regulation.

DGAT1 is expressed in many tissues, with particularly high levels in adipose tissue, liver, and small intestine. It plays essential roles in maintaining lipid droplet formation, regulating intestinal fat absorption, and supporting energy balance. Alterations in DGAT1 function have been associated with metabolic disorders, obesity, and lipodystrophy. Employing a DGAT1 antibody allows researchers to investigate its enzymatic function and disease relevance.

NSJ Bioreagents provides a high-quality DGAT1 antibody validated for applications such as western blot, immunohistochemistry, and immunoprecipitation. Choosing the right DGAT1 antibody ensures sensitive and reproducible detection for studies in lipid biology and metabolic research.

Application Notes

Optimal dilution of the DGAT1 antibody should be determined by the researcher.

Immunogen

A peptide sequence specific to Diacylglycerol O-acyltransferase 1 protein was used as the immunogen for the DGAT1 antibody.

Storage

After reconstitution, the DGAT1 antibody can be stored for up to one month at 4oC. For long-term, aliquot and store at -20oC. Avoid repeated freezing and thawing.

Cross
Bulk Quote Request Form
Name*:
Organization*:
Email*:
Phone Number*:
Catalog No.*:
Comments and Specifics(amount, formulation, etc.)*:
Validation code: Captchapackage Image


Can't read the image? click here to refresh.
    *required field

Your bulk quote request has been submitted successfully!

Please contact us if you have any questions.