• Tel: 858.663.9055
  • SeparatorEmail: info@nsjbio.com
  • Tel: 858.663.9055
  • Email: info@nsjbio.com
Home >> Antibodies >> Desmoglein-3 Antibody

Desmoglein-3 Antibody [clone DSG3/8252R] (V4573)

  Catalog No Formulation Size Price (USD)  
Image V4573-100UG 0.2 mg/ml in 1X PBS with 0.1 mg/ml BSA (US sourced), 0.05% sodium azide 100 ug 539
Image
V4573-20UG 0.2 mg/ml in 1X PBS with 0.1 mg/ml BSA (US sourced), 0.05% sodium azide 20 ug 249
Image
V4573SAF-100UG 1 mg/ml in 1X PBS; BSA free, sodium azide free 100 ug 539
Microvalidated Recrabbitmono
Bulk quote request
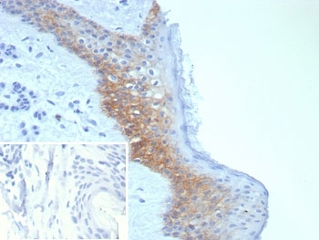
IHC staining of FFPE human skin tissue with Desmoglein-3 antibody (clone DSG3/8252R). Inset: PBS used in place of primary Ab (secondary Ab negative control). HIER: boil tissue sections in pH 9 10mM Tris with 1mM EDTA for 20 min and allow to cool before testing.
SDS-PAGE analysis of purified, BSA-free DSG3 antibody (clone DSG3/8252R) as confirmation of integrity and purity.
Availability 1-3 business days
Species Reactivity Human
Format Purified
Clonality Recombinant Rabbit Monoclonal
Isotype Rabbit IgG, kappa
Clone Name DSG3/8252R
Purity Protein A/G affinity
UniProt P32926
Localization Cell surface
Applications Immunohistochemistry (FFPE) : 1-2ug/ml for 30 min at RT
Limitations This Desmoglein-3 antibody is available for research use only.
Review this product on BioCompare and get a $20 Amazon gift card

Related Products

Description

Recognizes a protein of 130kDa, identified as Desmoglein-3 (DSG3). This mAb is highly specific to Desmoglein-3 and does not cross-react with other members of the Desmoglein-family. DSG3 is a calcium-binding transmembrane glycoprotein component of desmosomes in vertebrate epithelial cells. Desmosomes are cell-cell junctions between epithelial, myocardial, and certain other cell types. Currently, three desmoglein subfamily members are identified and all are members of the cadherin cell adhesion molecule superfamily.

Application Notes

Optimal dilution of the Desmoglein-3 antibody should be determined by the researcher.

Immunogen

A recombinant partial protein sequence (within amino acids 300-500) from the human protein was used as the immunogen for the Desmoglein-3 antibody.

Storage

Aliquot the Desmoglein-3 antibody and store frozen at -20oC or colder. Avoid repeated freeze-thaw cycles.

Cross
Bulk Quote Request Form
Name*:
Organization*:
Email*:
Phone Number*:
Catalog No.*:
Comments and Specifics(amount, formulation, etc.)*:
Validation code: Captchapackage Image


Can't read the image? click here to refresh.
    *required field

Your bulk quote request has been submitted successfully!

Please contact us if you have any questions.