• Tel: 858.663.9055
  • SeparatorEmail: info@nsjbio.com
  • Tel: 858.663.9055
  • Email: info@nsjbio.com
Home >> Antibodies >> Desmoglein 3 Antibody / DSG3

Desmoglein 3 Antibody / DSG3 [clone 5G11] (V3246)

  Catalog No Formulation Size Price (USD)  
Image V3246-100UG 0.2 mg/ml in 1X PBS with 0.1 mg/ml BSA (US sourced) and 0.05% sodium azide 100 ug 539
Image
V3246-20UG 0.2 mg/ml in 1X PBS with 0.1 mg/ml BSA (US sourced) and 0.05% sodium azide 20 ug 249
Image
V3246SAF-100UG 1 mg/ml in 1X PBS; BSA free, sodium azide free 100 ug 539
Bulk quote request
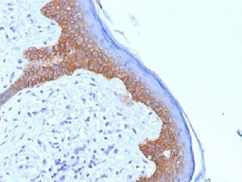
IHC testing of FFPE human skin with Desmoglein 3 antibody (clone 5G11). Required HIER: boil tissue sections in 10mM citrate buffer, pH 6, for 10-20 min.
SDS-PAGE Analysis of Purified, BSA-Free Desmoglein 3 Antibody (clone 5G11). Confirmation of Integrity and Purity of the Antibody.
Availability 1-3 business days
Species Reactivity Human
Format Purified
Clonality Monoclonal (mouse origin)
Isotype Mouse IgG1, kappa
Clone Name 5G11
Purity Protein G affinity chromatography
UniProt P32926
Localization Cell surface
Applications Flow Cytometry : 1-2ug/10^6 cells
Immunofluorescence : 1-2ug/ml
Western Blot : 1-2ug/ml
Immunohistochemistry (FFPE) : 1-2ug/ml for 30 min at RT
Limitations This Desmoglein 3 antibody is available for research use only.
Review this product on BioCompare and get a $20 Amazon gift card

Related Products

Description

Recognizes a protein of 130kDa, identified as Desmoglein-3 (DSG3). This MAb is highly specific to Desmoglein-3 and does not cross-react with other members of the Desmoglein-family. DSG3 is a calcium-binding transmembrane glycoprotein component of desmosomes in vertebrate epithelial cells. Desmosomes are cell-cell junctions between epithelial, myocardial, and certain other cell types. Currently, three desmoglein subfamily members are identified and all are members of the cadherin cell adhesion molecule superfamily.

Application Notes

Optimal dilution of the Desmoglein 3 antibody should be determined by the researcher.

Immunogen

A recombinant human protein corresponding to the extracellular portion of DSG3 was used as the immunogen for the Desmoglein 3 antibody.

Storage

Store the Desmoglein 3 antibody at 2-8oC (with azide) or aliquot and store at -20oC or colder (without azide).

Cross
Bulk Quote Request Form
Name*:
Organization*:
Email*:
Phone Number*:
Catalog No.*:
Comments and Specifics(amount, formulation, etc.)*:
Validation code: Captchapackage Image


Can't read the image? click here to refresh.
    *required field

Your bulk quote request has been submitted successfully!

Please contact us if you have any questions.