• Tel: 858.663.9055
  • SeparatorEmail: info@nsjbio.com
  • Tel: 858.663.9055
  • Email: info@nsjbio.com
Home >> Antibodies >> Desmoglein 1 Antibody / DSG1

Desmoglein 1 Antibody / DSG1 [clone 32-2B] (V7720)

  Catalog No Formulation Size Price (USD)  
Image V7720-100UG 0.2 mg/ml in 1X PBS with 0.1 mg/ml BSA (US sourced) and 0.05% sodium azide 100 ug 539
Image
V7720-20UG 0.2 mg/ml in 1X PBS with 0.1 mg/ml BSA (US sourced) and 0.05% sodium azide 20 ug 249
Image
V7720SAF-100UG 1 mg/ml in 1X PBS; BSA free, sodium azide free 100 ug 539
Bulk quote request
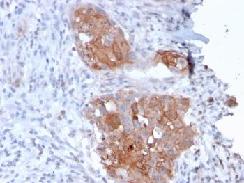
IHC testing of FFPE human bladder carcinoma with Desmoglein 1 antibody (clone 32-2B). HIER: boil tissue sections in pH 9 10mM Tris with 1mM EDTA for 10-20 min.
IHC testing of FFPE human bladder carcinoma with Desmoglein 1 antibody (clone 32-2B). HIER: boil tissue sections in pH 9 10mM Tris with 1mM EDTA for 10-20 min.
SDS-PAGE analysis of purified, BSA-free Desmoglein 1 antibody (clone 32-2B) as confirmation of integrity and purity.
Availability 1-3 business days
Species Reactivity Human
Format Purified
Clonality Monoclonal (mouse origin)
Isotype Mouse IgG2a, kappa
Clone Name 32-2B
Purity Protein G affinity chromatography
UniProt Q02413
Localization Cell surface, cytoplasmic
Applications Immunohistochemistry (FFPE) : 1-2ug/ml
Limitations This Desmoglein 1 antibody is available for research use only.
Review this product on BioCompare and get a $20 Amazon gift card

Related Products

Description

Desmoglein-1 is a member of the desmosomal cadherin family.Desmosomes are intercellular adhering junctions that represent cell surface attachment sites for intermediate filament. Desmocollins and desmogleins are the main desmosomal transmembrane proteins. Desmogleins consist of Dsg1, Dsg2, Dsg3, and Dsg4 isoforms.Within the desmosome, the extracellular domain of desmoglein is essential for calcium dependent heterophilic binding to the desmocollins, whereas the intracellular domain is essential for binding to the desmosomal plaque protein, plakoglobin. Desmoglein 1 is synthesized exclusively in the suprabasal layers. Intact and functionally active desmoglein 1 is essential to epidermal integrity.

Application Notes

Optimal dilution of the Desmoglein 1 antibody should be determined by the researcher.

Immunogen

Bovine desmoglein (desmosomal glyco protein I) from nasal epidermis was used as the immunogen for the Desmoglein 1 antibody.

Storage

Store the Desmoglein 1 antibody at 2-8oC (with azide) or aliquot and store at -20oC or colder (without azide).

Cross
Bulk Quote Request Form
Name*:
Organization*:
Email*:
Phone Number*:
Catalog No.*:
Comments and Specifics(amount, formulation, etc.)*:
Validation code: Captchapackage Image


Can't read the image? click here to refresh.
    *required field

Your bulk quote request has been submitted successfully!

Please contact us if you have any questions.