• Tel: 858.663.9055
  • SeparatorEmail: info@nsjbio.com
  • Tel: 858.663.9055
  • Email: info@nsjbio.com
Home >> Antibodies >> Desmin Antibody

Desmin Antibody (R31530)

  Catalog No Formulation Size Price (USD)  
Image R31530 0.5mg/ml if reconstituted with 0.2ml sterile DI water 100 ug 439
Bulk quote request
Immunofluorescent staining of FFPE mouse heart tissue with Desmin antibody (red) and DAPI nuclear stain (blue). HIER: steam section in pH8 EDTA buffer for 20 min.
Immunofluorescent staining of FFPE mouse skeletal muscle tissue with Desmin antibody (red) and DAPI nuclear stain (blue). HIER: steam section in pH8 EDTA buffer for 20 min.
Immunofluorescent staining of FFPE rat heart tissue with Desmin antibody (red) and DAPI nuclear stain (blue). HIER: steam section in pH8 EDTA buffer for 20 min.
Immunofluorescent staining of FFPE rat skeletal muscle tissue with Desmin antibody (red) and DAPI nuclear stain (blue). HIER: steam section in pH8 EDTA buffer for 20 min.
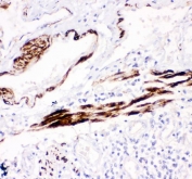
IHC staining of FFPE human lung cancer tissue with Desmin antibody. HIER: boil tissue sections in pH8 EDTA for 20 min and allow to cool before testing.
IHC staining of FFPE rat skeletal muscle tissue with Desmin antibody. HIER: boil tissue sections in pH8 EDTA for 20 min and allow to cool before testing.
IHC staining of frozen rat heart tissue with Desmin antibody.
Western blot testing of 1) rat heart, 2) rat skeletal muscle, 3) rat C2C12, 4) mouse heart and 5) mouse skeletal muscle tissue lysate with Desmin antibody. Predicted molecular weight ~54 kDa.
Availability 1-3 business days
Species Reactivity Human, Mouse, Rat
Format Antigen affinity purified
Clonality Polyclonal (rabbit origin)
Isotype Rabbit IgG
Purity Antigen affinity
Buffer Lyophilized from 1X PBS with 2.5% BSA and 0.025% sodium azide
Gene ID 1674
Localization Cytoplasmic, membranous
Applications Western Blot : 0.5-1ug/ml
Immunohistochemistry (FFPE) : 2-5ug/ml
Immunohistochemistry (Frozen) : 2-5ug/ml
Immunofluorescence : 5ug/ml
Limitations This Desmin antibody is available for research use only.
Review this product on BioCompare and get a $20 Amazon gift card

Related Products

  • Applications : WB, IHC
    Reactivity : Human, Mouse
    Pred. Reactivity : Rat, Bovine
    Recrabbitmono
  • Applications : IHC-P
    Reactivity : Human
    Recrabbitmono
  • Applications : IHC-P
    Reactivity : Human, Mouse, Rat
    Recmousemono
  • Applications : IHC-P
    Reactivity : Human
    Recmousemono
  • Applications : IHC-P
    Reactivity : Human
    Recrabbitmono
  • Applications : WB, IHC-P
    Reactivity : Human, Mouse, Rat, Rabbit
  • Applications : IF, FACS, WB, IHC-P
    Reactivity : Human, Mouse, Rat
  • Applications : WB, IHC-P, FACS
    Reactivity : Human, Mouse, Rat
  • Applications : IHC-P
    Reactivity : Human, Dog, Cat, Horse, Cow
  • Applications : IHC-P
    Reactivity : Human
  • Applications : IHC-P
    Reactivity : Human, Rat
    Citation  Citations(24)
  • Applications : WB, IHC, ELISA
    Reactivity : Human
    Pred. Reactivity : Bovine, Mouse, Pig, Rat
  • Applications : WB, IHC, ELISA
    Reactivity : Human
    Pred. Reactivity : Bovine, Mouse, Pig, Rat
  • Applications : WB, ELISA (peptide)
    Reactivity : Human, Mouse, Rat, Pig

Description

DES, also called Desmin, is a protein that in humans is encoded by the DES gene, and this gene is mapped to 2q35. DES is a member of the intermediate filament (IF) protein family. It is one of the earliest myogenic markers, both in heart and somites, and is expressed in satellite stem cells and replicating myoblasts. It is very important in muscle cell architecture and structure since it connects many components of the cytoplasm. It may be also play an important role in mitochondria function. Additionally, DES provides attachments between the terminal Z disc and membrane-associated proteins to form a force-transmitting system that parallels the thin filaments at myotendinous junctions.

Application Notes

The stated application concentrations are suggested starting points. Titration of the Desmin antibody may be required due to differences in protocols and secondary/substrate sensitivity.

Immunogen

Human partial recombinant protein (AA 1-304) was used as the immunogen for this Desmin antibody.

Storage

After reconstitution, the Desmin antibody can be stored for up to one month at 4oC. For long-term, aliquot and store at -20oC. Avoid repeated freezing and thawing.

Cross
Bulk Quote Request Form
Name*:
Organization*:
Email*:
Phone Number*:
Catalog No.*:
Comments and Specifics(amount, formulation, etc.)*:
Validation code: Captchapackage Image


Can't read the image? click here to refresh.
    *required field

Your bulk quote request has been submitted successfully!

Please contact us if you have any questions.